您现在的位置:
下载说明书
Western blot analysis of extracts from HeLa cells, using ARFGAP3 antibody....
Western blot analysis of extracts from various samples, using ARFGAP3 Antibody. Lane 1: HepG2 cells(H2O2 treatment), blocked with antigen-specific peptides, Lane 2: HepG2 cells(H2O2 treatment), Lane 3: Mouse heart, Lane 4: Hela cells, Lane 5: Mouse kidney. Observed bands: 66kDa...
Western blot analysis of extracts from HeLa cells, using ARFGAP3 Antibody. The lane on the left was treated with blocking peptide....
ab14607 at 1/100 staining mouse liver tissue by IHC-P. The sample was formaldehyde fixed and a heat mediated antigen retrieval step in citrate buffer was performed. The sample was then blocked and incubated with the primary antibody at 4°C overnight. An HRP conjugated anti-rabbit antibody was used as the secondary antibody....
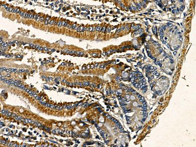
ab14607 at 1/100 staining mouse colorectal tissue by IHC-P. The sample was formaldehyde fixed and a heat mediated antigen retrieval step in citrate buffer was performed. The sample was then blocked and incubated with the primary antibody at 4°C overnight. An HRP conjugated anti-rabbit antibody was used as the secondary antibody....
ab14607 at 1/100 staining rat testis tissue by IHC-P. The sample was formaldehyde fixed and a heat mediated antigen retrieval step in citrate buffer was performed. The sample was then blocked and incubated with the primary antibody at 4°C overnight. An HRP conjugated anti-rabbit antibody was used as the secondary antibody....

Copyright © 北京嘉美诺斯生物科技有限公司 2009. All rights reserved
备案号:湘ICP备2025088722号-1