您现在的位置:
下载说明书
Western blot analysis of extracts from PC12, using AQP3 Antibody. The lane on the left was treated with blocking peptide....
ab11015 at 1/100 staining Human lung tissue by IHC-P. The sample was formaldehyde fixed and a heat mediated antigen retrieval step in citrate buffer was performed. The sample was then blocked and incubated with the antibody for 1.5 hours at 22°C. An HRP conjugated goat anti-rabbit antibody was used as the secondary antibody....
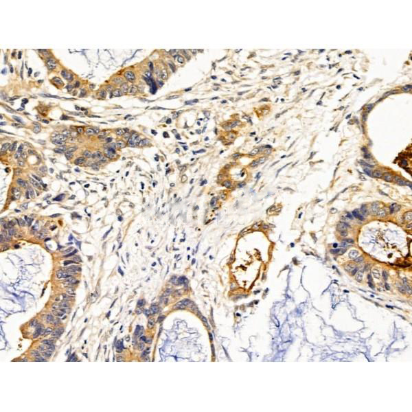
ab11015 at 1/100 staining Human colorectal cancer by IHC-P. The sample was formaldehyde fixed and a heat mediated antigen retrieval step in citrate buffer was performed. The sample was then blocked and incubated with the primary antibody at 4°C overnight. An HRP conjugated anti-Rabbit antibody was used as the secondary antibody....
ab11015 at 1/100 staining Mouse kidney tissue by IHC-P. The sample was formaldehyde fixed and a heat mediated antigen retrieval step in citrate buffer was performed. The sample was then blocked and incubated with the primary antibody at 4°C overnight. An HRP conjugated anti-Rabbit antibody was used as the secondary antibody....
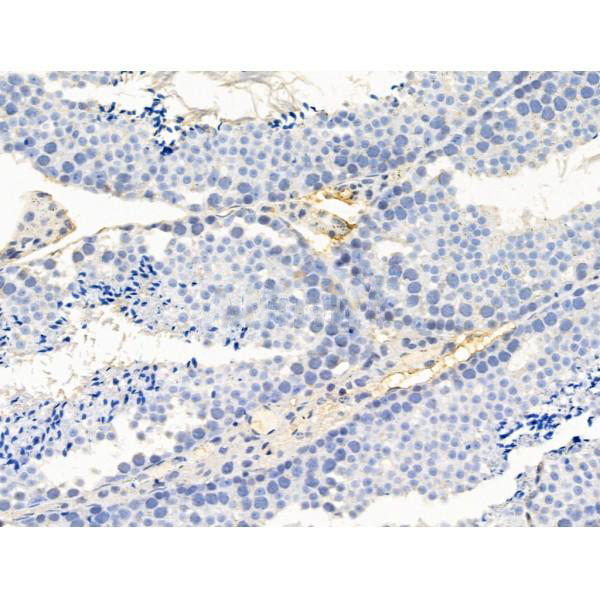
ab11015 at 1/100 staining Mouse testis tissue by IHC-P. The sample was formaldehyde fixed and a heat mediated antigen retrieval step in citrate buffer was performed. The sample was then blocked and incubated with the primary antibody at 4°C overnight. An HRP conjugated anti-Rabbit antibody was used as the secondary antibody....
ab11015 at 1/100 staining Rat kidney tissue by IHC-P. The sample was formaldehyde fixed and a heat mediated antigen retrieval step in citrate buffer was performed. The sample was then blocked and incubated with the primary antibody at 4°C overnight. An HRP conjugated anti-Rabbit antibody was used as the secondary antibody....
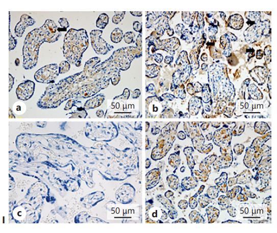
Fig. 1. |Expression of AQP3 protein in the placenta (I, II) and fetal membranes (III, IV) shown in IHC and (I, III)Western blotting (I, IV) images....
Fig. 1. |Expression of AQP3 protein in the placenta (I, II) and fetal membranes (III, IV) shown in IHC and (I, III)Western blotting (I, IV) images....
Figure 3. Daidzein increased lipopolysaccharide (LPS)-induced downregulated expression of tight junction and AQP3 proteins and mRNA. (A) The protein expression levels of ZO-1 and occludin and protein quantitative analysis. (B) The protein expression levels of claudin-1 and AQP3 and protein quantitative analysis. (C–F) The mRNA expression levels of ZO-1, occludin, claudin-1, and AQP3 (mean ± SD, n = 3), * p < 0.05, ** p < 0.01, and *** p < 0.001 versus LPS-treated alone. # p < 0.05, ## p < 0.01, and ### p < 0.001 versus control....

Copyright © 北京嘉美诺斯生物科技有限公司 2009. All rights reserved
备案号:湘ICP备2025088722号-1