您现在的位置:
下载说明书
Western blot analysis on HuvEc cell lysates using APC Antibody,The lane on the left was treated with the antigen-specific peptide....
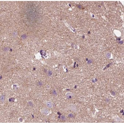
ab10388 at 1/100 staining human brain tissue sections by IHC-P. The tissue was formaldehyde fixed and a heat mediated antigen retrieval step in citrate buffer was performed. The tissue was then blocked and incubated with the antibody for 1.5 hours at 22°C. An HRP conjugated goat anti-rabbit antibody was used as the secondary antibody....
ab10388 at 1/100 staining Rat heart tissue by IHC-P. The sample was formaldehyde fixed and a heat mediated antigen retrieval step in citrate buffer was performed. The sample was then blocked and incubated with the primary antibody at 4°C overnight. An HRP conjugated anti-Rabbit antibody was used as the secondary antibody....
ab10388 at 1/100 staining Rat brain tissue by IHC-P. The sample was formaldehyde fixed and a heat mediated antigen retrieval step in citrate buffer was performed. The sample was then blocked and incubated with the primary antibody at 4°C overnight. An HRP conjugated anti-Rabbit antibody was used as the secondary antibody....
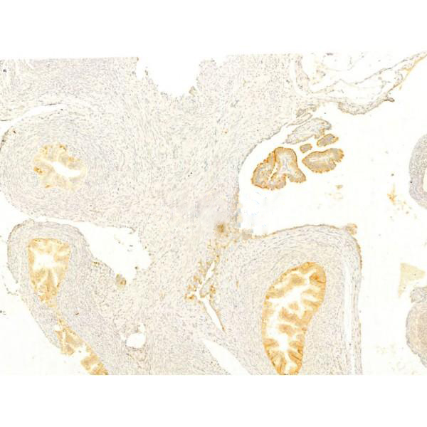
ab10388 at 1/100 staining Mouse ovary tissue by IHC-P. The sample was formaldehyde fixed and a heat mediated antigen retrieval step in citrate buffer was performed. The sample was then blocked and incubated with the primary antibody at 4°C overnight. An HRP conjugated anti-Rabbit antibody was used as the secondary antibody....
ab10388 at 1/100 staining Rat lung tissue by IHC-P. The sample was formaldehyde fixed and a heat mediated antigen retrieval step in citrate buffer was performed. The sample was then blocked and incubated with the primary antibody at 4°C overnight. An HRP conjugated anti-Rabbit antibody was used as the secondary antibody....
ab10388 at 1/100 staining Human normal tissues adjacent to lung cancer by IHC-P. The sample was formaldehyde fixed and a heat mediated antigen retrieval step in citrate buffer was performed. The sample was then blocked and incubated with the primary antibody at 4°C overnight. An HRP conjugated anti-Rabbit antibody was used as the secondary antibody....
ab10388 at 1/100 staining Rat kidney tissue by IHC-P. The sample was formaldehyde fixed and a heat mediated antigen retrieval step in citrate buffer was performed. The sample was then blocked and incubated with the primary antibody at 4°C overnight. An HRP conjugated anti-Rabbit antibody was used as the secondary antibody....
ab10388 at 1/100 staining Rat ovary tissue by IHC-P. The sample was formaldehyde fixed and a heat mediated antigen retrieval step in citrate buffer was performed. The sample was then blocked and incubated with the primary antibody at 4°C overnight. An HRP conjugated anti-Rabbit antibody was used as the secondary antibody....
Fig. 5. Effect of 17ββββ-TBOH on the myelination of the mPFC in adolescent mice. (A) Quantitative 893 real-time PCR (qRT-PCR) of myelin gene transcripts in the mPFC (n=4). (B-C) Confocal images and 894 quantification of MBP+ (green) myelinated fibres in the mPFC. DAPI (blue) was used as a nuclear 895 counterstain (n=12 fields from 3 mice per treatment condition). (D-F) Confocal images and 89, quantification of NG2+ (green) cells and CC1+ (red) cells in the mPFC. DAPI (blue) was used as a 897 nuclear counterstain (n=12 fields from 3 mice per treatment condition). Scale bar=60 µm. *p<0.05 **P 898 < 0.01, ***P < 0.001, and ****P < 0.0001 by one-way ANOVA followed by Tukey’s post hoc test. 899 Data are presented as means ± SEM....
FIGURE 5 Fam70A and Wnt5a regulate adenomatous polyposis coli (APC) level and MT stability. A, Western blot showed that APC protein remarkably increased after Fam70A depletion. B, Quantification of (A). C, Immunofluorescence showed that APC was enriched within spindles and remarkably increased after Fam70A depletion. APC in green, tubulin in red, DNA in blue. D, Western blot showed that Wnt5a was efficiently reduced by siRNA (Table S2). E, Western blot showed that APC remarkably increased after Wnt5a knockdown. F, Quantification of (E). G, RT-PCR showed that APC was efficiently reduced by siRNA (Table S3). H, Fam70A depletion and Wnt5a knockdown both remarkably increased acetylated tubulin level within spindles, while APC knockdown remarkably reduced acetylated tubulin level. Acetylated tubulin in green, DNA in blue. I, Quantification of (H). Scale bar, 5 µm. *P < .05...
FIGURE 5 Fam70A and Wnt5a regulate adenomatous polyposis coli (APC) level and MT stability. A, Western blot showed that APC protein remarkably increased after Fam70A depletion. B, Quantification of (A). C, Immunofluorescence showed that APC was enriched within spindles and remarkably increased after Fam70A depletion. APC in green, tubulin in red, DNA in blue. D, Western blot showed that Wnt5a was efficiently reduced by siRNA (Table S2). E, Western blot showed that APC remarkably increased after Wnt5a knockdown. F, Quantification of (E). G, RT-PCR showed that APC was efficiently reduced by siRNA (Table S3). H, Fam70A depletion and Wnt5a knockdown both remarkably increased acetylated tubulin level within spindles, while APC knockdown remarkably reduced acetylated tubulin level. Acetylated tubulin in green, DNA in blue. I, Quantification of (H). Scale bar, 5 µm. *P < .05...

Copyright © 北京嘉美诺斯生物科技有限公司 2009. All rights reserved
备案号:湘ICP备2025088722号-1