您现在的位置:
下载说明书
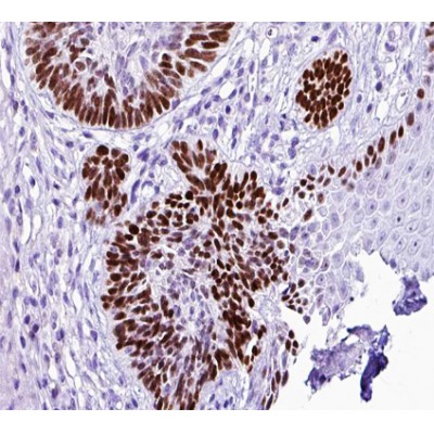
ab10384 at 1/100 staining human skin cancer tissue sections by IHC-P. The tissue was formaldehyde fixed and a heat mediated antigen retrieval step in citrate buffer was performed. The tissue was then blocked and incubated with the antibody for 1.5 hours at 22°C. An HRP conjugated goat anti-rabbit antibody was used as the secondary antibody....
Figure 7. Effects of d-ECM on the ERK1/2-PPARγ pathway and the expression of adipocyte secreting factors ADIPOQ and aP2 in the fully differentiated ADSCs. After 3-days treatments and 14-days adipogenic induction, ADSCs at the 5th passage were collected and used for Western blotting analysis (a). Protein levels of ERK1/2 (b), p-ERK1/2 (c), PPARγ (d), p-PPARγ (e), ADIPOQ (f) and aP2 (g) were examined. GAPDH demonstrated the equal loading of protein samples. N = 3. *, p < 0.05, vs. 10% FBS group; **, p < 0.01, vs. 10% FBS group; #, p < 0.05, vs. 2% FBS group; ##, p < 0.01, vs. 2% FBS group; $, p < 0.05, vs. 2% FBS + d-ECM group; $$, p < 0.01, vs. 2% FBS + d-ECM group. ADIPOQ, adiponectin; aP2, adipocyte fatty-acid binding protein...
Figure 6 The effect of tumor-derived exosomes on miR-3960-overexpressed pancreatic cancer (PC) on the xenograft tumor model. (x¯±s, n =7) (a) The photographs of tumors dissected from PC mice. (b) The tumor volume. (c) The tumor weight. (d-f) The semi-quantitative score and typical picture of Hematoxylin-eosin staining in the lungs and livers. (×400) (g-i) The Bax and Bcl-2 protein levels in the lungs of PC mice. (j-m) The p-AKT/AKT, PTEN, TFAP2A levels in the lungs of PC mice (n =3). ##P <0.01 compared to the Exo + miR-NC group....
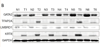
Figure 10 External experimental verification. (A) Relative mRNA expression of GATA2, TFAP2A, LMBRD1, and KRT8 in LUAD and lung bronchial epithelial cell lines. (B) Protein expression levels of GATA2, TFAP2A, LMBRD1, and KRT8 in LUAD and adjacent tissues. *, P...

Copyright © 北京嘉美诺斯生物科技有限公司 2009. All rights reserved
备案号:湘ICP备2025088722号-1