您现在的位置:
下载说明书
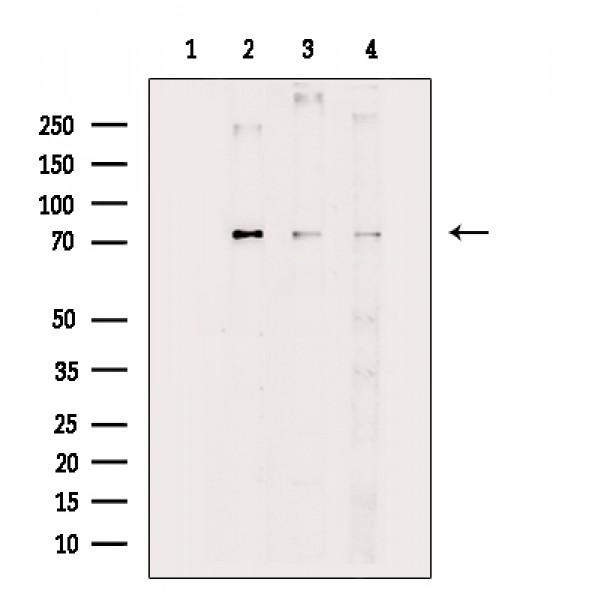
Western blot analysis of extracts from various samples, using Annexin A6 Antibody. Lane 1: Mouse brain, blocked with antigen-specific peptides, Lane 2: Mouse brain, Lane 3: Rat brain, Lane 4: Mouse kidney....
Western blot analysis of extracts from various samples, using Annexin A6 Antibody. Lane 1: Mouse lung lysates; Lane 2: Mouse heart lysates; Lane 3: Mouse liver lysates; Lane 4: Mouse liver lysates treated with blocking peptide;...
ab10033 at 1/100 staining Mouse brain tissue by IHC-P. The sample was formaldehyde fixed and a heat mediated antigen retrieval step in citrate buffer was performed. The sample was then blocked and incubated with the primary antibody at 4°C overnight. An HRP conjugated anti-Rabbit antibody was used as the secondary antibody....

Copyright © 北京嘉美诺斯生物科技有限公司 2009. All rights reserved
备案号:湘ICP备2025088722号-1