您现在的位置:
下载说明书
Western blot analysis of Annexin I expression in Mouse brain lysate...
Western blot analysis of Annexin I Antibody expression in mouse liver tissue lysates.The lane on the right was treated with the antigen-specific peptide....
ab10947 at 1/100 staining Human esophageal cancer by IHC-P. The sample was formaldehyde fixed and a heat mediated antigen retrieval step in citrate buffer was performed. The sample was then blocked and incubated with the primary antibody at 4°C overnight. An HRP conjugated anti-Rabbit antibody was used as the secondary antibody....
ab10947 at 1/100 staining Human esophageal cancer by IHC-P. The sample was formaldehyde fixed and a heat mediated antigen retrieval step in citrate buffer was performed. The sample was then blocked and incubated with the primary antibody at 4°C overnight. An HRP conjugated anti-Rabbit antibody was used as the secondary antibody....
Fig. 3. Allopurinol upregulates junctional protein expression by suppressing TLR4/P65. (A–C) Representative immunoblotting of TLR4 (A), P65 (B) and IL-1β (C) from isolated colon after treatment with allopurinol or antibiotic. (D–F) Relative expression levels of Occludin (D), ZO-1 (E) and Claudin1 (F) genes were determined by Q-PCR from isolated colon after treatment with allopurinol or antibiotic. n = 6 mice per group. (G and H) Representative immunoblotting of Occludin, Claudin1(G)and IL-1β(H)from isolated colon after treatment with allopurinol or antibiotic. NC, control group; HY, hyperuricemia mice. Bars and error bars represent the Means ± SEM. *p < 0.05, **p < 0.01 verse Con, ##p < 0.01 verse HY using one-way ANOVA followed by Tukey...
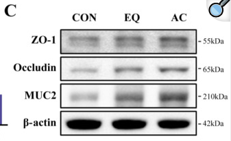
Figure 4. Intestinal barrier permeability and intestinal-barrier-related protein expression. N = 8. (A) Serum diamine oxidase activity and (B) D-lactate contents. (C–F) The relative protein expression of ZO-1, Occludin, and MUC2 in the jejunum. CON, basal diet; EQ, basal diet + 200 g/ton ethoxyquin; AC, basal diet + 200 g/ton antioxidant compound. Abbreviations: DAO, diamine oxidase. ab Different superscript letters indicate significant differences (p < 0.05)....

Copyright © 北京嘉美诺斯生物科技有限公司 2009. All rights reserved
备案号:湘ICP备2025088722号-1