您现在的位置:
下载说明书
Western blot analysis of ALPL expression in Mouse brain lysates...
Fig. 5 |ADSC-Exos improved the healing of tendon injury. a, h The H&E staining of tendon injury at week 2 and week 4. b–f, i–m The expression of TNMD, collagen I, SCXA, ALP, and Runx2 were detected by immunohistochemistry assay at week 2 (n = 6) and week 4 (n = 6)....
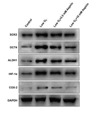
Fig. 2.| Aspirin inhibits the hypoxia-enhanced stemness of A549 cells. (A–C) mRNA levels of SOX-2, OCT4, and ALDH1 were determined by qRT–PCR using specific primers, with GAPDH serving as the internal control. (D, E) mRNA levels of HIF-1α and COX-2 were determined by qRT–PCR using specific primers, with GAPDH serving as the internal control. (F) The concentration of PGE2 secreted by A549 cells was determined by ELISA. Each bar indicates the mean ± SD of n = 3 experiments. * indicates P < 0.05, ** indicates P < 0.01. (G) SOX-2, OCT4, ALDH1, HIF-1α, and COX-2 protein levels were determined by Western blot, with GAPDH serving as the loading control....
Fig. 4. Immunohistochemistry stainings of RUNX2 and ALP in the mandibular defect area of WT, CSE−/−and CSE−/− + GYY4137 mice 2 weeks after surgery. WT and CSE−/− + GYY4137 mice demonstrated increased expression levels of RUNX2 and ALP in the defect area 2 weeks after surgery. Green arrows represent the margin of the mandibular defect area. WT: wild type; CSE-/-: CSE knock out mice; Runx2: runt-related transcription factor 2; ALP: alkaline phosphatase. (For interpretation of the references to colour in this figure legend, the reader is referred to the web version of this article)....
Figure 3 circRNA422 interfering inhibited osteogenic differentiation of BMSCs (A) ALP staining to evaluate the effect of circRNA422− on the ALP activity of BMSCs on osteogenic days 3 and 7. (B) Protein levels of OCN to evaluate the effect of circRNA422− on mineralization of BMSCs on osteogenic days 14 and 21. (C) Quantitative real-time PCR analysis showed that the osteogenic mRNA expressions levels of SP7, LRP5, ALP, OCN, BSP, and OPN were downregulated by circRNA422− compared with Con313 on osteogenic days 3 and 7 (n = 3, ∗p < 0.05). (D) WB analysis showed that the osteogenic protein expressions levels of ALP, LRP5, and SP7 were reduced by circRNA422− compared with Con313 on osteogenic days 3 and 7 (n = 3, ∗p < 0.05)....
Figure 7. The dynamic HA-ADA hydrogel enhances the osteogenic differentiation. D) Representative images and E) quantified intensity (n = 20) of ALP (green) immunostaining of the hMSCs in the hydrogels....
Figure 1. POL stimulated BMSCs proliferation and osteogenic differentiation. (A) POL chemical structure; (B) BMSCs surface markers were detected by flow cytometry; (C) The result of CCK-8 assay (n = 5); (D-E) The result of CFU assay (n = 5); (F) Images of ALP staining (scale bar = 250 μm); (G) Quantification of ALP staining (n = 5); (H) Images of ARS staining (scale bar = 250 μm); (I) Quantification of ARS staining (n = 5); (J-K) The protein expression levels of OCN, RUNX2, ALP, and COL1A1 were evaluated by western blot (n = 3); (L-M) Immunofluorescence staining of OCN and ALP (scale bar = 200 μm). Data were presented as mean ± SEM. Compared with control group: * P < 0.05, **P < 0.01, ***P < 0.001. Compared with 1 μM group: # P < 0.05, ##P < 0.01, ###P < 0.001....

Copyright © 北京嘉美诺斯生物科技有限公司 2009. All rights reserved
备案号:湘ICP备2025088722号-1