您现在的位置:
下载说明书
Western blot analysis of extracts from EC304 cells(heat-shock treatment), using Albumin Antibody at 1/1000 dilution. Observed bands:72kD....
FIGURE 1 | Irradiation-induced liver damage in mice. C57BL/6J mice were exposed to 8.0 Gy of total body irradiation (TBI). Liver tissues were harvested at days 1, 3, and 7 post-exposure (n = 6). (A) Representative pictures by HE staining are shown. Scale bar = 50 μm. Arrows indicate edema hepatocytes. (B and C) ALB and AFP expression in liver tissues (n = 3). Expression of ALB (B) and AFP (C) was detected by western blotting....
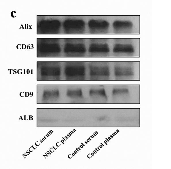
Figure 1. Characterisation of EVs derived from the serum and plasma of NSCLC patients and controls. (a) The shape and structure of serum and plasma EVs isolated by EXOquick kit under TEM. The red arrow represents EVs with typical characteristics (scale bars are 200 nm). (b) The size of EVs derived from control groups and NSCLC groups was analysed by NTA. (c) Western blots of EVs membrane markers, including Alix, CD63, TSG101, CD9, and one negative marker ALB....

Copyright © 北京嘉美诺斯生物科技有限公司 2009. All rights reserved
备案号:湘ICP备2025088722号-1