您现在的位置:
下载说明书
Rabbit polyclonal antibody to AKT1
Western blot analysis of extracts from 293 cells, using AKT1 Antibody. The lane on the left was treated with blocking peptide....
Western blot analysis of extracts from PC12(H2O2 treatment), using AKT1 Antibody. The lane on the left was treated with blocking peptide....
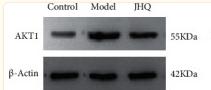
Figure 7 Effect of JHQ on core target proteins abundant in LX-2 cells after CuSO4 treatment. ∗∗∗P < 0.001 and ∗∗P < 0.01 compared with the model group....
Figure 3 Lycorine changes the activation level of the Akt signaling pathway via RBM10. (A-C) Lycorine significantly decreased the activation level of the Akt signaling pathway. (D) Lycorine significantly increased the protein expression levels of E-cadherin and significantly reduced the protein expression levels of E-cadherin. (E-G) Despite the presence of lycorine, the inhibition of RBM10 significantly increased the activation level of the Akt signaling pathway. (H) Decreasing RBM10 expression induced a significant increase in N-cadherin protein expression. *P<0.05 and **P<0.01. RBM10, RNA binding motif 10; NC, negative control; p, phosphorylated; siRNA, small interfering RNA....
Fig. 7 Enriched miR-146b-5p in F-MSCs-Exo inhibits PI3K/AKT/mTOR pathway by targeting TRAF6. (A, B) Western blot analysis was performed to detect the impact of F-MSCs-Exo on TRAF6 and the PI3K/AKT/mTOR pathway in rat chondrocytes. (C, D) The expression of TRAF6 was quantitatively analyzed using immunofluorescence staining and ImageJ software (scale bar = 10 μm). (E, F) Direct visualization of chondrocytes treated with nc-inhibitor and miR-146b-5p-inhibitor was performed using Alcian blue staining and safranin staining. (G, H) Western blot analysis was conducted to examine the expressions of TRAF6 and the PI3K/AKT/mTOR pathway in chondrocytes after treatment with nc-inhibitor and miR-146b-5p-inhibitor. (ns, no significant difference; *p...
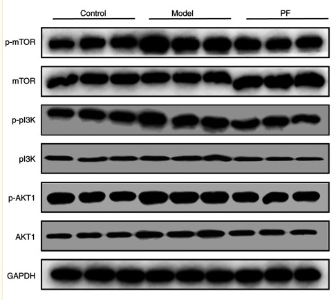
Figure 8 PF downregulated the protein expression levels of p-AKT1/AKT1, Bcl-2, EGFR, p-mTOR/mTOR, and p-PI3K/PI3K in the colonic mucosa from the dextran sodium sulfate-induced mice. Data are presented as the mean ± SD. *P...
Fig. 10 Expression of GSK-3β and Akt. (A), (B): Validation of RNA-seq data by qRT-PCR. (C), (D), (E): Validation of protein expression by western blot. (means ± SD, n = 3). ***P ...
Fig. 8 The expression of core proteins AKT1, ERK2, and CASPASE-9. (A) Relative protein expression levels of AKT1 (a), ERK2 (b), and CASPASE-9 (c) treated with DBD in the MI rat model. Data are presented as the mean ± SD (n = 3). *P < 0.05 and **P < 0.01 versus the sham group; #P < 0.05 and ##P < 0.01 versus the MI group. (B) Immunofluorescence staining to detect the effect of DBD treatment on core proteins expression (original magnifications: 100 × ). (a–c) The expression of AKT1, ERK2, and CASPASE-9. Data are presented as the mean ± SD (n = 3). **P < 0.01 versus the sham group; ##P < 0.01 versus the MI group....
Fig. 8 The expression of core proteins AKT1, ERK2, and CASPASE-9. (A) Relative protein expression levels of AKT1 (a), ERK2 (b), and CASPASE-9 (c) treated with DBD in the MI rat model. Data are presented as the mean ± SD (n = 3). *P < 0.05 and **P < 0.01 versus the sham group; #P < 0.05 and ##P < 0.01 versus the MI group. (B) Immunofluorescence staining to detect the effect of DBD treatment on core proteins expression (original magnifications: 100 × ). (a–c) The expression of AKT1, ERK2, and CASPASE-9. Data are presented as the mean ± SD (n = 3). **P < 0.01 versus the sham group; ##P < 0.01 versus the MI group....
Fig. 5. A Apoptosis was examined by flow cytometry. B Apoptosis was determined by mitochondrial membrane potential assay, scale bar: 50 μm. C qPCR was used to detect mRNA expression of PI3K, AKT, mTOR, BCL-2, BAX, caspase-3, and caspase-6. D, E The protein expression levels of p-PI3K, PI3K, p-AKT, AKT, BAX, BCL-2, caspase-3, and cleaved-caspase-3 were examined using a western blot. The full-length blots are presented in Supplementary Figure. ** P ...
Figure 8. HGWD alleviated apoptosis after cerebral I/R. (A) TUNEL staining images of five groups. (Scale bar = 50 μm, 400×). (B) HGWD reduced cell apoptosis through PI3K/AKT signalling pathway. Western blotting was utilized to examine the levels of Bcl-2, Bax, caspase-3, cleaved caspase-3, AKT1, p-AKT1, PI3K, and p-PI3K. (C) Percentages of TUNEL positive cells were utilized to evaluate the differences in the five groups. Integrated density data were quantified (D-J). the results (D-H), respectively, showed the levels of Bax, Bcl-2, the ratio of Bcl-2/Bax, caspase-3, and cleaved caspase-3 in the brains of rats for five groups, with β-actin as the internal control. The results of I and J, respectively, showed the ratios of p-AKT1/AKT1 and p-PI3K/PI3K in the brains of rats for five groups. All data were shown as mean ± SD. (n = 3, *p ...

Copyright © 北京嘉美诺斯生物科技有限公司 2009. All rights reserved
备案号:湘ICP备2025088722号-1