您现在的位置:
下载说明书
Western blot analysis of extracts from 3T3, using Aggrecan Antibody. The lane on the left was treated with blocking peptide....
ab17521 at 1/100 staining Rat brain tissue by IHC-P. The sample was formaldehyde fixed and a heat mediated antigen retrieval step in citrate buffer was performed. The sample was then blocked and incubated with the primary antibody at 4°C overnight. An HRP conjugated anti-Rabbit antibody was used as the secondary antibody....
ab17521 at 1/100 staining Mouse heart tissue by IHC-P. The sample was formaldehyde fixed and a heat mediated antigen retrieval step in citrate buffer was performed. The sample was then blocked and incubated with the primary antibody at 4°C overnight. An HRP conjugated anti-Rabbit antibody was used as the secondary antibody....
ab17521 at 1/100 staining Mouse brain tissue by IHC-P. The sample was formaldehyde fixed and a heat mediated antigen retrieval step in citrate buffer was performed. The sample was then blocked and incubated with the primary antibody at 4°C overnight. An HRP conjugated anti-Rabbit antibody was used as the secondary antibody....
ab17521 at 1/100 staining Mouse skin tissue by IHC-P. The sample was formaldehyde fixed and a heat mediated antigen retrieval step in citrate buffer was performed. The sample was then blocked and incubated with the primary antibody at 4°C overnight. An HRP conjugated anti-Rabbit antibody was used as the secondary antibody....
ab17521 at 1/100 staining Human normal tissues adjacent to mammary cancer by IHC-P. The sample was formaldehyde fixed and a heat mediated antigen retrieval step in citrate buffer was performed. The sample was then blocked and incubated with the primary antibody at 4°C overnight. An HRP conjugated anti-Rabbit antibody was used as the secondary antibody....
ab17521 at 1/100 staining Human mammary cancer by IHC-P. The sample was formaldehyde fixed and a heat mediated antigen retrieval step in citrate buffer was performed. The sample was then blocked and incubated with the primary antibody at 4°C overnight. An HRP conjugated anti-Rabbit antibody was used as the secondary antibody....
Fig. 3. |miR-145 increased matrix metabolism in rat NP cells.(A, B) Real-time PCR analysis was performed to evaluate the mRNA expression of aggrecan (A) and collagen IIa (B) after a single transfection with agomir-145 or miR-155 inhibitors. (C, D, E) Western blotting (C) and subsequent densitometric analysis (D) demonstrated that aggrecan (C, E) and collagen IIa (D, E) protein were significantly upregulated in rat NP cells after transfection with agomir-145....
Fig. 4 Silencing of Vangl2 prevents Col-2 and aggrecan degradation in OA. a Western blotting of Col-2 in three groups. The images were quantitatively analyzed and normalized to GAPDH. b The change of Col-2 mRNA was quantitated by RT-qPCR. Representative ICC images of Col-2 (c) and the IOD analysis (d). Scale bar, 50 μm. e The aggrecan expression was measured by Western blotting and quantified for three groups. ns, not statistically significant, *P < 0.05, **P < 0.01; IOD, integrated option density...
FIGURE 4 Expression of aggrecan of NPCs encapsulated in the GelMA hydrogel. (A) Immunofluorescence staining of NPCs 7 days after encapsulation at different concentrations GelMA hydrogels. (B) Quantitative optical density analysis of aggrecan expression. (*P < .05, **P < .01)...
Figure 2. |Protein expression levels of collagen II and aggrecan increase with the added concentration of genistein, while caspase 3 protein levels gradually decrease in each group. (A) Western blot analysis of samples from the experimental groups were tested with the indicated antibodies....
Fig. 3. |LOX improved the ECM expression pattern in TNF-α-treated rat NP cells. A. and B. Relative mRNA expressions of type II collagen and aggrecan in rat NP cells with different treatments were analyzed by RT-qPCR. C. Protein expressions of type II collagen and aggrecan in rat NP cells with different treatments were analyzed by western blot....
Fig. 4. The effects of TRIM38 depletion on IL-1β-induced degeneration of chondrocytes. (A, B) The effects of TRIM38 overexpression on the levels of MMP-3, MMP- 13, ACAN, and COL2A1 were measured via western blotting (n = 3). (C, D) The effects of TRIM38 knockdown on the levels of MMP-3, MMP-13, ACAN, and COL2A1 were assessed via western blotting (n = 3). **p < 0.01....
Fig 2 FGF9 expression increased during early differentiation of ATDC5 cells. ATDC5 cells effectively differentiated into chondrogenic cells and stayed at the early stage of chondrogenic differentiation by day 15 as detected by quantitative real-time PCR analysis of the chondrogenic genes Col2, Aggrecan, Col10, Ihh, Mmp13 and FGFR3 Safranin-O staining and Alcian blue staining were carried out on the 15th day and 0th day of induction(B), as well as the protein levels of Col2a1, Acan, Col10a1, Mmp13 detected by Western blot (C). Quantitative real-time PCR (A) and Western blotting analysis (D) showed increased expression of FGF9 during 15 days of ATDC5 differentiation. Immunofluorescence staining (E/a-d) and immunohistochemical staining (E/e) were used to detect the expression and distribution of FGF9 in undifferentiated ATDC5 cells....
Figure 8 Evaluation of protein expression and cartilage-related genes in the chondrocyte sheets cultured in vitro under static pressure and hypoxic conditions. (A) Protein expression of Aggrecan, COL II, Sox-9, and HIF-1α as determined using western blotting; β-actin was used as a loading control. The expression of Aggrecan (B), COL II (C), Sox-9 (D) and HIF1-α (E) genes was determined using real-time PCR. GAPDH was used as a housekeeping gene. Data are presented as the mean ± standard deviation (n=3),...
Fig. 1. The effect of TMF on the articular cartilage of OA rats (n = 6) was investigated. (A) The articular cartilage was stained with H/E. IHC assays were used to detect the altered expression of Aggrecan (B–C), ADAMTS5 (D–E), and Caspase3 (F–G) in the cartilage....
Fig. 8. GPX4 inhibitor RSL3 substantially attenuates VK2 protection of chondrocytes. (A-I) WB results for GPX4, NFκB, pMAPK/MAPK, Aggrecan, CollagenⅡ, SOX9, MMP3, MMP13 and Tubulin; (J) Quantitive analysis of relative Glutathione Peroxidase Activity; (K-L) GSH contents and ratio of GSH/GSSG; (M) Quantitative results of MDA content assay....
Figure 1 The impact of MA on ECM anabolism and catabolism in TNFα-treated NPCs (A) Chemical architecture of MA. (B) The cytotoxicity of MA to NPCs was evaluated at designated time points by CCK-8 assay at various concentrations. (C–H) The relative mRNA levels of COL2A1, ACAN, ADAMTS5, ADAMTS4, MMP13 and MMP9 were quantified via qPCR. (I) The protein expression levels of ACAN, COL2A1, ADAMTS4, MMP9, ADAMTS5 and MMP13 were assessed in NPCs treated with or without MA in the presence of TNFα. *P...
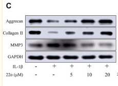
FIGURE 4 Compound 22o alleviates IL-1β-induced chondrocyte inflammatory responses and ECM degradation. Rat chondrocytes were treated with different concentrations of compound 22o in the presence or absence of IL-1β (10 ng/ml) for 24 h. (A) Western blots and (B) quantitative analysis of COX-2. (C) Western blots and (D) quantitative analysis of ACAN, COL2A1 and MMP3. GAPDH was employed as the internal control (n = 3). (E) Quantification of mRNA levels for COX-2, ACAN, COL2A1 and MMP3. Fold changes relative to control group are shown (n = 3). #p < 0.05 vs. control group; *p < 0.05 vs. IL-1β group....
Fig. 9. αKG protects articular cartilage by modulating cartilage matrix homeostasis. Immunohistochemistry staining of Col2a1, Acan, MMP13, and Adamts4 in the knee joint cartilage of advanced OA mice under different treatments....

Copyright © 北京嘉美诺斯生物科技有限公司 2009. All rights reserved
备案号:湘ICP备2025088722号-1