您现在的位置:
下载说明书
Western blot analysis of extracts from 293, using AGGF1 antibody. Lane 1 was treated with the blocking peptide....
ab12730 at 1/100 staining Human gastric cancer by IHC-P. The sample was formaldehyde fixed and a heat mediated antigen retrieval step in citrate buffer was performed. The sample was then blocked and incubated with the primary antibody at 4°C overnight. An HRP conjugated anti-Rabbit antibody was used as the secondary antibody....
ab12730 at 1/100 staining Human normal tissues adjacent to liver cancer by IHC-P. The sample was formaldehyde fixed and a heat mediated antigen retrieval step in citrate buffer was performed. The sample was then blocked and incubated with the primary antibody at 4°C overnight. An HRP conjugated anti-Rabbit antibody was used as the secondary antibody....
ab12730 at 1/100 staining Rat kidney tissue by IHC-P. The sample was formaldehyde fixed and a heat mediated antigen retrieval step in citrate buffer was performed. The sample was then blocked and incubated with the primary antibody at 4°C overnight. An HRP conjugated anti-Rabbit antibody was used as the secondary antibody....
Figure 1. |Immunostaining for AGGF1 (angiogenic factor with G-patch and FHA domain 1), FOXC2 (forkhead box C2), and E-cad (E-cadherin) in esophageal squamous cell carcinoma and control tissue. A, Positive AGGF1 in the cytoplasm of esophageal squamous cell carcinoma tissue (40 magnification)...
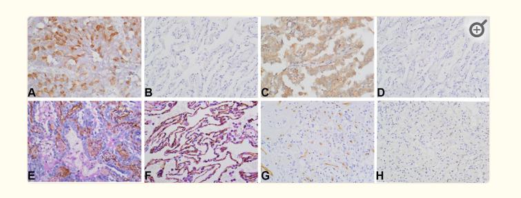
Figure 1 Immunostaining of UBE2C, AGGF1, VM and MVD in NSCLC and control tissues. (A) Positive staining of UBE2C in NSCLC tissues (×400). (B) Negative staining of UBE2C in control tissues (×400). (C) Positive staining of AGGF1 in NSCLC tissues (×400). (D) Negative staining of AGGF1 in control tissues (×400). (E) Positive staining of VM in NSCLC tissues (×400). (F) Negative staining of VM in control tissues (×400). (G) High MVD in NSCLC tissues (×400). (H) Low MVD in control tissues (×400)....
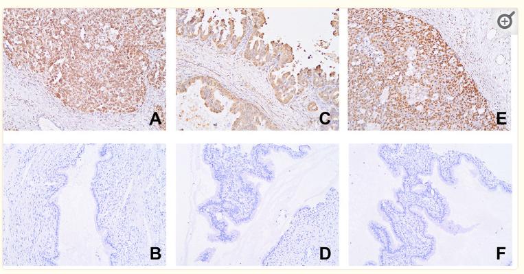
Figure 1 The expression of the three proteins in SOC and ovarian serous cystadenoma (ElivisionTM, ×400; (A) NCAPH in SOC; proportion of positive cells; (B) NCAPH in ovarian serous cystadenoma; (C) AGGF1 in SOC; (D) AGGF1 in ovarian serous cystadenoma; (E) FOXC2 in SOC; (F) FOXC2 in ovarian serous cystadenoma)....

Copyright © 北京嘉美诺斯生物科技有限公司 2009. All rights reserved
备案号:湘ICP备2025088722号-1