您现在的位置:
ab13942 Adrenergic Receptor alpha -2A Antibody
货号:
实验方法:WB,IF,ICC
实验种属:Human,Mouse,Rat,Rabbit,Bovine,Chicken,Dog,Sheep,Horse
宿主种属:Rabbit
共轭标记:Unconjugated
产品售价:
产品订购:
jiamay@gmail.com
渠道电话:
+86 400-698-4168
客服电话:
+86 400-698-4168
下载说明书
产品详情
产品应用信息
Alpha-2 adrenergic receptors mediate the catecholamine-induced inhibition of adenylate cyclase through the action of G proteins. The rank order of potency for agonists of this receptor is oxymetazoline > clonidine > epinephrine > norepinephrine > phenylephrine > dopamine > p-synephrine > p-tyramine > serotonin = p-octopamine. For antagonists, the rank order is yohimbine > phentolamine = mianserine > chlorpromazine = spiperone = prazosin > propanolol > alprenolol = pindolol.

Description
Rabbit polyclonal antibody to Adrenergic Receptor alpha -2A

Applications 
WB, IF, ICC, IHC

Immunogen 
Adrenergic Receptor alpha -2A Antibody detects endogenous levels of total Adrenergic Receptor alpha -2A.

Reactivity 
Human, Mouse, Rat.
可预测:Pig(100%), Zebrafish(%), Bovine(%), Rabbit(%), Chicken(%)

Molecular weight
48 KD; 51kD(Calculated).

Host species 
Rabbit

Ig class 
Immunogen-specific rabbit IgG

Purification 
Antigen affinity purification

Full name 
Adrenergic Receptor  alpha -2A

Synonyms 
ADA2A_HUMAN; ADRA2; ADRA2A; ADRA2R; ADRAR; Adrenergic alpha 2A receptor; Alpha 2 adrenergic receptor subtype C10; Alpha 2A adrenergic receptor; Alpha 2AAR subtype C10; Alpha-2 adrenergic receptor subtype C10; alpha-2-adrenergic receptor, platelet type; Alpha-2A adrenergic receptor; Alpha-2A adrenoceptor; Alpha-2A adrenoreceptor; Alpha-2AAR; ALPHA2AAR; OTTHUMP00000058849; ZNF32;

Storage
Rabbit IgG in phosphate buffered saline , pH 7.4, 150mM NaCl, 0.02% sodium azide and 50% glycerol. Store at -20 °C. Stable for 12 months from date of receipt.

Swissprot 
P08913

图片数据
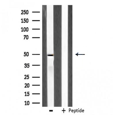
Western blot analysis of extracts from LOVO cells using Adrenergic Receptor α-2A antibody....

嘉美客服微信