您现在的位置:
下载说明书
2310026J05Rik; 5033405D03Rik; Adenosine 5''-phosphotransferase; Adenosine kinase; adk; ADK_HUMAN; AI255373; AI987814; AK; MGC6593; OTTHUMP00000019864; OTTHUMP00000019865;
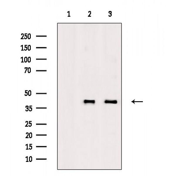
Western blot analysis of extracts from various samples, using ADK Antibody. Lane 1: Hela cells, blocked with antigen-specific peptides, Lane 2: Hela cells, Lane 3: P19 cells....
ab14083 staining Hela cells by IF/ICC. The samples were fixed with PFA and permeabilized in 0.1% Triton X-100,then blocked in 10% serum for 45 minutes at 25°C. Samples were then incubated with primary Ab(ab14083) and mouse anti-beta tubulin Ab(T0023) for 1 hour at 37°C. An AlexaFluor594 conjugated goat anti-rabbit IgG(H+L) Ab(Red) and an AlexaFluor488 conjugated goat anti-mouse IgG(H+L) Ab(Green) were used as the secondary antibody. The nuclear counter stain is DAPI (blue)....

Copyright © 北京嘉美诺斯生物科技有限公司 2009. All rights reserved
备案号:湘ICP备2025088722号-1