您现在的位置:
下载说明书
Western blot analysis of extracts from HepG2 cells(H2O2 treatment), using Actinin alpha 2/3 Antibody. The lane on the left was treated with blocking peptide....
Western blot analysis of extracts from various samples, using Actinin alpha 2/3 Antibody. Lane 1: Mouse brain lysates; Lane 2: Rat brain lysates; Lane 3: Mouse muscle lysates; Lane 4: Rat spleen lysates;...
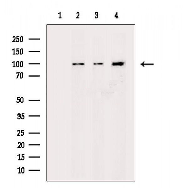
Western blot analysis of extracts from various samples, using Actinin alpha 2/3 Antibody. Lane 1: Mouse brain, blocked with antigen-specific peptides, Lane 2: Mouse brain, Lane 3: Hela cells(serum starvation treatment), Lane 4: RAW264.7 cells(LPS 4h treatment)....
ab14029 at 1/100 staining Mouse muscle tissue by IHC-P. The sample was formaldehyde fixed and a heat mediated antigen retrieval step in citrate buffer was performed. The sample was then blocked and incubated with the primary antibody at 4°C overnight. An HRP conjugated anti-Rabbit antibody was used as the secondary antibody....
ab14029 at 1/100 staining Rat heart tissue by IHC-P. The sample was formaldehyde fixed and a heat mediated antigen retrieval step in citrate buffer was performed. The sample was then blocked and incubated with the primary antibody at 4°C overnight. An HRP conjugated anti-Rabbit antibody was used as the secondary antibody....
ab14029 at 1/100 staining Rat muscle tissue by IHC-P. The sample was formaldehyde fixed and a heat mediated antigen retrieval step in citrate buffer was performed. The sample was then blocked and incubated with the primary antibody at 4°C overnight. An HRP conjugated anti-Rabbit antibody was used as the secondary antibody....
ab14029 at 1/100 staining Rat skin tissue by IHC-P. The sample was formaldehyde fixed and a heat mediated antigen retrieval step in citrate buffer was performed. The sample was then blocked and incubated with the primary antibody at 4°C overnight. An HRP conjugated anti-Rabbit antibody was used as the secondary antibody....

Copyright © 北京嘉美诺斯生物科技有限公司 2009. All rights reserved
备案号:湘ICP备2025088722号-1