您现在的位置:
下载说明书
Western blot analysis of extracts from various samples, using ACSL4/FACL4 Antibody. Lane 1: 3t3 treated with blocking peptide; Lane 2: 3t3; Lane 3: Mouse spleen....
Western blot analysis of extracts from A549 cells(serum starvation treatment), using ACSL4/FACL4 Antibody. The lane on the left was treated with blocking peptide....
ab12762 at 1/100 staining Mouse kidney tissue by IHC-P. The sample was formaldehyde fixed and a heat mediated antigen retrieval step in citrate buffer was performed. The sample was then blocked and incubated with the primary antibody at 4°C overnight. An HRP conjugated anti-Rabbit antibody was used as the secondary antibody....
ab12762 at 1/100 staining Human normal tissues adjacent to esophageal cancer by IHC-P. The sample was formaldehyde fixed and a heat mediated antigen retrieval step in citrate buffer was performed. The sample was then blocked and incubated with the primary antibody at 4°C overnight. An HRP conjugated anti-Rabbit antibody was used as the secondary antibody....
ab12762 at 1/100 staining Human normal tissues adjacent to gastric cancer by IHC-P. The sample was formaldehyde fixed and a heat mediated antigen retrieval step in citrate buffer was performed. The sample was then blocked and incubated with the primary antibody at 4°C overnight. An HRP conjugated anti-Rabbit antibody was used as the secondary antibody....
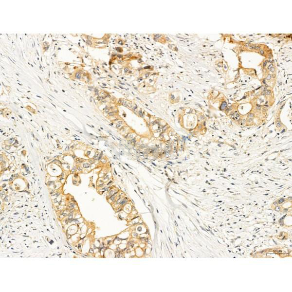
ab12762 at 1/100 staining Human normal tissues adjacent to colorectal cancer by IHC-P. The sample was formaldehyde fixed and a heat mediated antigen retrieval step in citrate buffer was performed. The sample was then blocked and incubated with the primary antibody at 4°C overnight. An HRP conjugated anti-Rabbit antibody was used as the secondary antibody....
ab12762 at 1/100 staining Human colorectal cancer by IHC-P. The sample was formaldehyde fixed and a heat mediated antigen retrieval step in citrate buffer was performed. The sample was then blocked and incubated with the primary antibody at 4°C overnight. An HRP conjugated anti-Rabbit antibody was used as the secondary antibody....
ab12762 at 1/100 staining Human normal tissues adjacent to pancreatic cancer by IHC-P. The sample was formaldehyde fixed and a heat mediated antigen retrieval step in citrate buffer was performed. The sample was then blocked and incubated with the primary antibody at 4°C overnight. An HRP conjugated anti-Rabbit antibody was used as the secondary antibody....
ab12762 at 1/100 staining Human pancreatic cancer by IHC-P. The sample was formaldehyde fixed and a heat mediated antigen retrieval step in citrate buffer was performed. The sample was then blocked and incubated with the primary antibody at 4°C overnight. An HRP conjugated anti-Rabbit antibody was used as the secondary antibody....
ab12762 at 1/100 staining Human mammary cancer by IHC-P. The sample was formaldehyde fixed and a heat mediated antigen retrieval step in citrate buffer was performed. The sample was then blocked and incubated with the primary antibody at 4°C overnight. An HRP conjugated anti-Rabbit antibody was used as the secondary antibody....
ab12762 at 1/100 staining Human mammary cancer by IHC-P. The sample was formaldehyde fixed and a heat mediated antigen retrieval step in citrate buffer was performed. The sample was then blocked and incubated with the primary antibody at 4°C overnight. An HRP conjugated anti-Rabbit antibody was used as the secondary antibody....
ab12762 at 1/100 staining Human normal tissues adjacent to lung cancer by IHC-P. The sample was formaldehyde fixed and a heat mediated antigen retrieval step in citrate buffer was performed. The sample was then blocked and incubated with the primary antibody at 4°C overnight. An HRP conjugated anti-Rabbit antibody was used as the secondary antibody....
ab12762 at 1/100 staining Rat kidney tissue by IHC-P. The sample was formaldehyde fixed and a heat mediated antigen retrieval step in citrate buffer was performed. The sample was then blocked and incubated with the primary antibody at 4°C overnight. An HRP conjugated anti-Rabbit antibody was used as the secondary antibody....
ab12762 at 1/100 staining Rat ovary tissue by IHC-P. The sample was formaldehyde fixed and a heat mediated antigen retrieval step in citrate buffer was performed. The sample was then blocked and incubated with the primary antibody at 4°C overnight. An HRP conjugated anti-Rabbit antibody was used as the secondary antibody....
ab12762 at 1/100 staining Rat stomach tissue by IHC-P. The sample was formaldehyde fixed and a heat mediated antigen retrieval step in citrate buffer was performed. The sample was then blocked and incubated with the primary antibody at 4°C overnight. An HRP conjugated anti-Rabbit antibody was used as the secondary antibody....
ab12762 at 1/100 staining Rat colon tissue by IHC-P. The sample was formaldehyde fixed and a heat mediated antigen retrieval step in citrate buffer was performed. The sample was then blocked and incubated with the primary antibody at 4°C overnight. An HRP conjugated anti-Rabbit antibody was used as the secondary antibody....
ab12762 staining Hela cells by IF/ICC. The samples were fixed with PFA and permeabilized in 0.1% Triton X-100,then blocked in 10% serum for 45 minutes at 25°C. Samples were then incubated with primary Ab(ab12762 1:200) and mouse anti-beta tubulin Ab(T0023 1:200) for 1 hour at 37°C. An AlexaFluor594 conjugated goat anti-rabbit IgG(H+L) Ab(Red) and an AlexaFluor488 conjugated goat anti-mouse IgG(H+L) Ab(Green) were used as the secondary antibody. The nuclear counter stain is DAPI(blue)....
Figure 4. Changes in ferroptosis-related proteins, antioxidant capacity, and lipid peroxidation in 786-O and A498 cell lines. (A, B) Ferroptosis-related proteins were significantly different between siNC group and siSTEAP3 group when treated with erastin. The concentration of erastin is 10 μM (786-O) and 15 μM (A498). (C) MitoSox analysis of reactive oxygen species (ROS) levels in A498 and 786-O cells. (D) Quantification analysis of antioxidant markers in 786-O and A498 cells. (E) Quantification analysis of lipid peroxidation levels in HK-2 cells. All the above data are the mean ± SD from an average of 3 experiments....
Figure 3. | Fer‑1 protects H9c2 cells against Herceptin‑induced cell injury and ferroptosis. Fer‑1 and DFO reversed the (A) Herceptin‑induced reduction in cell viability, (B) Herceptin‑induced decrease in GPX4 and SLC7A11 protein expression and Herceptin‑induced increase in ACSL4 protein expression....
Figure 4 DFO and EDA attenuated ferroptosis in EAP model. (a) The iron concentration of prostate lysates was determined by the commercial kit. Results were normalized to protein concentration. (b) The mRNA levels of ferroptosis biomarkers GPX4, SLC7A11, ACSL4, PTGS2, and DHODH relative to internal control were determined by the RT-PCR method. (c) The protein levels of ferroptosis biomarkers GPX4, SLC7A11, ACSL4, LPCAT3, and DHODH were determined by the western blot method. The relative quantification result of each band was performed relative to β-actin. Data was presented as mean ± SEM. #P < 0.05 versus the control group; ##P < 0.01 versus the control group; ###P < 0.001 versus the control group; ∗P < 0.05 versus the EAP group; ∗∗P < 0.01 versus the EAP group; ∗∗∗P < 0.001 versus the EAP group....
FIGURE 5 The expression level of GPX4, ACSL4, and SLC7A11: (A) representative results of immunohistochemistry (IHC) and relative expression of GPX4; (B) representative results of IHC and relative expression of ACSL4; and (C) representative results of IHC and relative expression of SLC7A11. *p < 0.05 compared with the control group...
Figure 6 NGR1 induces ferroptosis in breast cancer cells by down-regulating RUNX2. (A) Changes in the concentration of MDA and Fe2+ in MDA-MB-23 and SK-BR-3 cells were detected after NGR1 treatment. (B, C) Changes in the expression of ACSL4, COX2, FIH1, GPX4, and NOX1 proteins were detected by Western blot in MDA-MB-231 and SK-BR-3 cells. (* P < 0.05, ** P < 0.01, *** P < 0.001, **** P < 0.0001)....
Figure 5 Luteolin inhibits ferroptosis in rat gastric tissue. (A) Changes in the levels of Fe2+ and MDA in gastric tissues of luteolin-treated rats. (B) Changes in the mRNA expression of FIH1, COX2, ACSL4, GPX4, and NOX1 were detected using qPCR. (C) Western blot analysis of the protein expression levels of FIH1, COX2, ACSL4, GPX4, and NOX1....

Copyright © 北京嘉美诺斯生物科技有限公司 2009. All rights reserved
备案号:湘ICP备2025088722号-1