您现在的位置:
下载说明书
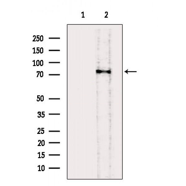
Western blot analysis of extracts from Rat kidney, using ACSA Antibody. The lane on the left was treated with blocking peptide....
Western blot analysis of extracts from various samples, using ACSA Antibody. Lane 1: Rat brain lysates; Lane 2: Mouse brain lysates; Lane 3: Mouse muscle lysates; Lane 4: Mouse muscle lysates treated with blocking peptide;...
Western blot analysis of extracts from rat brain tissue, using ACSA Antibody. The lane on the left was treated with blocking peptide....
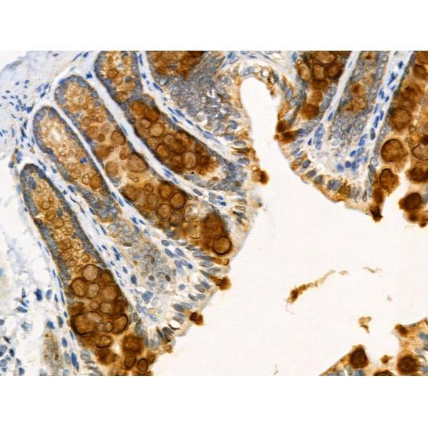
ab14587 at 1/100 staining Rat stomach tissue by IHC-P. The sample was formaldehyde fixed and a heat mediated antigen retrieval step in citrate buffer was performed. The sample was then blocked and incubated with the primary antibody at 4°C overnight. An HRP conjugated anti-Rabbit antibody was used as the secondary antibody....

Copyright © 北京嘉美诺斯生物科技有限公司 2009. All rights reserved
备案号:湘ICP备2025088722号-1