您现在的位置:
下载说明书
Western blot analysis of extracts from various samples, using Acetyl-Histone H3 (Lys9/14/18/23/27) Antibody. Lane 1: Heat-shock treated EC304 cells, blocked with antigen-specific peptides, Lane 2: Heat-shock treated EC304 cells, Lane 3: UV treated A2780 cells, Lane 4: UV treated RAW264.7 cells....
Western blot analysis of extracts from COLO205 cells(TSA 1M, 18 hr), using Acetyl-Histone H3 (Lys9/14/18/23/27) Antibody. Lane1 was treated with Ac-blocking peptide. Lane2 was treated with Non-Ac-blocking peptide....
Western blot analysis of extracts from various samples, using Acetyl-Histone H3 (Lys9/14/18/23/27) Antibody. Lane 1: Rat liver, blocked with antigen-specific peptides. Lane 2: Rat liver. Lane 3: Mouse muscle. Lane 4: Hepg2 cells(heat-shock treatment). Lane 5: Raw264.7 cells(serum starvation treatment)....
ab10676 at 1/100 staining Human gastric cancer and adjacent normal tissues by IHC-P. The sample was formaldehyde fixed and a heat mediated antigen retrieval step in citrate buffer was performed. The sample was then blocked and incubated with the primary antibody at 4°C overnight. An HRP conjugated anti-Rabbit antibody was used as the secondary antibody....
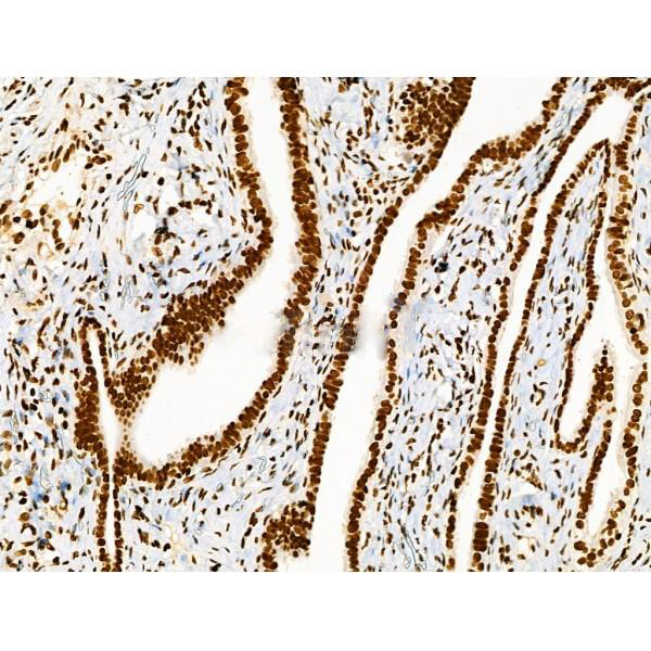
ab10676 at 1/100 staining Human esophageal cancer and adjacent normal tissues by IHC-P. The sample was formaldehyde fixed and a heat mediated antigen retrieval step in citrate buffer was performed. The sample was then blocked and incubated with the primary antibody at 4°C overnight. An HRP conjugated anti-Rabbit antibody was used as the secondary antibody....
ab10676 at 1/100 staining Human esophageal cancer by IHC-P. The sample was formaldehyde fixed and a heat mediated antigen retrieval step in citrate buffer was performed. The sample was then blocked and incubated with the primary antibody at 4°C overnight. An HRP conjugated anti-Rabbit antibody was used as the secondary antibody....
ab10676 at 1/100 staining Human colorectal cancer and adjacent normal tissues by IHC-P. The sample was formaldehyde fixed and a heat mediated antigen retrieval step in citrate buffer was performed. The sample was then blocked and incubated with the primary antibody at 4°C overnight. An HRP conjugated anti-Rabbit antibody was used as the secondary antibody....
ab10676 at 1/100 staining Human colorectal cancer by IHC-P. The sample was formaldehyde fixed and a heat mediated antigen retrieval step in citrate buffer was performed. The sample was then blocked and incubated with the primary antibody at 4°C overnight. An HRP conjugated anti-Rabbit antibody was used as the secondary antibody....
ab10676 at 1/100 staining Human pancreatic cancer and adjacent nomal tissues by IHC-P. The sample was formaldehyde fixed and a heat mediated antigen retrieval step in citrate buffer was performed. The sample was then blocked and incubated with the primary antibody at 4°C overnight. An HRP conjugated anti-Rabbit antibody was used as the secondary antibody....
ab10676 at 1/100 staining Human pancreatic cancer by IHC-P. The sample was formaldehyde fixed and a heat mediated antigen retrieval step in citrate buffer was performed. The sample was then blocked and incubated with the primary antibody at 4°C overnight. An HRP conjugated anti-Rabbit antibody was used as the secondary antibody....
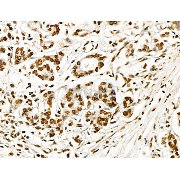
ab10676 at 1/100 staining Human kidney cancer by IHC-P. The sample was formaldehyde fixed and a heat mediated antigen retrieval step in citrate buffer was performed. The sample was then blocked and incubated with the primary antibody at 4°C overnight. An HRP conjugated anti-Rabbit antibody was used as the secondary antibody....
ab10676 at 1/100 staining Human ovarian cancer by IHC-P. The sample was formaldehyde fixed and a heat mediated antigen retrieval step in citrate buffer was performed. The sample was then blocked and incubated with the primary antibody at 4°C overnight. An HRP conjugated anti-Rabbit antibody was used as the secondary antibody....
ab10676 at 1/100 staining Mouse heart tissue by IHC-P. The sample was formaldehyde fixed and a heat mediated antigen retrieval step in citrate buffer was performed. The sample was then blocked and incubated with the primary antibody at 4°C overnight. An HRP conjugated anti-Rabbit antibody was used as the secondary antibody....
ab10676 at 1/100 staining Mouse kidney tissue by IHC-P. The sample was formaldehyde fixed and a heat mediated antigen retrieval step in citrate buffer was performed. The sample was then blocked and incubated with the primary antibody at 4°C overnight. An HRP conjugated anti-Rabbit antibody was used as the secondary antibody....
ab10676 at 1/100 staining Mouse brain tissue by IHC-P. The sample was formaldehyde fixed and a heat mediated antigen retrieval step in citrate buffer was performed. The sample was then blocked and incubated with the primary antibody at 4°C overnight. An HRP conjugated anti-Rabbit antibody was used as the secondary antibody....
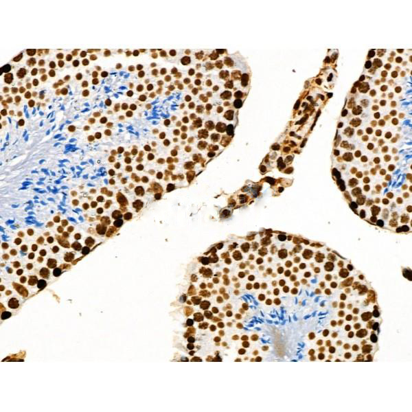
ab10676 at 1/100 staining Mouse testis tissue by IHC-P. The sample was formaldehyde fixed and a heat mediated antigen retrieval step in citrate buffer was performed. The sample was then blocked and incubated with the primary antibody at 4°C overnight. An HRP conjugated anti-Rabbit antibody was used as the secondary antibody....
ab10676 at 1/100 staining Mouse muscle tissue by IHC-P. The sample was formaldehyde fixed and a heat mediated antigen retrieval step in citrate buffer was performed. The sample was then blocked and incubated with the primary antibody at 4°C overnight. An HRP conjugated anti-Rabbit antibody was used as the secondary antibody....
ab10676 at 1/100 staining Mouse muscle tissue by IHC-P. The sample was formaldehyde fixed and a heat mediated antigen retrieval step in citrate buffer was performed. The sample was then blocked and incubated with the primary antibody at 4°C overnight. An HRP conjugated anti-Rabbit antibody was used as the secondary antibody....
ab10676 at 1/100 staining Rat liver tissue by IHC-P. The sample was formaldehyde fixed and a heat mediated antigen retrieval step in citrate buffer was performed. The sample was then blocked and incubated with the primary antibody at 4°C overnight. An HRP conjugated anti-Rabbit antibody was used as the secondary antibody....
ab10676 at 1/100 staining Rat spleen tissue by IHC-P. The sample was formaldehyde fixed and a heat mediated antigen retrieval step in citrate buffer was performed. The sample was then blocked and incubated with the primary antibody at 4°C overnight. An HRP conjugated anti-Rabbit antibody was used as the secondary antibody....
ab10676 at 1/100 staining Rat kidney tissue by IHC-P. The sample was formaldehyde fixed and a heat mediated antigen retrieval step in citrate buffer was performed. The sample was then blocked and incubated with the primary antibody at 4°C overnight. An HRP conjugated anti-Rabbit antibody was used as the secondary antibody....
ab10676 at 1/100 staining Rat brain tissue by IHC-P. The sample was formaldehyde fixed and a heat mediated antigen retrieval step in citrate buffer was performed. The sample was then blocked and incubated with the primary antibody at 4°C overnight. An HRP conjugated anti-Rabbit antibody was used as the secondary antibody....
ab10676 at 1/100 staining Rat stomach tissue by IHC-P. The sample was formaldehyde fixed and a heat mediated antigen retrieval step in citrate buffer was performed. The sample was then blocked and incubated with the primary antibody at 4°C overnight. An HRP conjugated anti-Rabbit antibody was used as the secondary antibody....
ab10676 staining Hela cells(4h of LPS treatment) by IF/ICC. The samples were fixed with PFA and permeabilized in 0.1% Triton X-100,then blocked in 10% serum for 45 minutes at 25°C. Samples were then incubated with primary Ab(ab10676 1:200) and mouse anti-beta tubulin Ab(T0023 1:200) for 1 hour at 37°C. An AlexaFluor594 conjugated goat anti-rabbit IgG(H+L) Ab(Red) and an AlexaFluor488 conjugated goat anti-mouse IgG(H+L) Ab(Green) were used as the secondary antibody. The nuclear counter stain is DAPI(blue)....
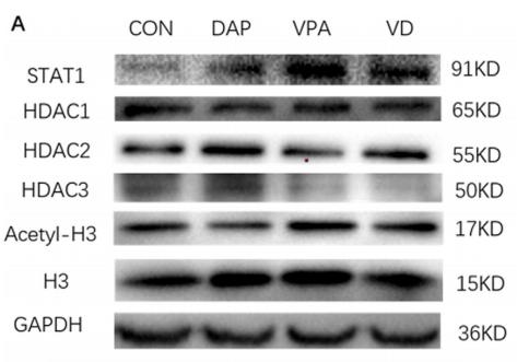
Fig. 5. |Protein expression and location of STAT1, HDACs and acetylated histone H3 in iE-DAP-stimulated BMECs after pretreatment with VPA. Western blot analysis showing the expression levels of STAT1 and HDAC1-3 (B), histone H3 and acetylated histone H3 (C) and the ratio of acetylated histone H3 to histone H3 (D)....
Figure 7.| Relationship between histone acetylation and the upregulation of proinflammatory cytokines, chemokines, and β-defensin transcription by sodium butyrate (NaB) during LPS stimulation. (A) Bands of the protein related to histone H3 and acetylated histone H3. Quantification of the bands from Western blots....
Figure 6 Downregulation of ACLY leads to change in IL-10 expression through histone acetylation. (a) The protein levels of acetylated histone H3 in villi of patients with the RSA and the HC groups, as measured using immunohistochemistry (n = 5). (b) The levels of total acetylated histone H3 and histone H3, as detected using Western blotting. (c) The expression of IL10, as detected using qRT-PCR. (d) The protein level of IL-10, as detected using ELISA. ∗∗p < 0.01, compared with the HC group; ∗∗p < 0.01, compared with shCtrl; #p < 0.05, ##p < 0.01, compared with shACLY. IOD: Integrated Optical Density. Scale bar: 200x = 50 μm, 400x = 20 μm....
Figure 6 Downregulation of ACLY leads to change in IL-10 expression through histone acetylation. (a) The protein levels of acetylated histone H3 in villi of patients with the RSA and the HC groups, as measured using immunohistochemistry (n = 5). (b) The levels of total acetylated histone H3 and histone H3, as detected using Western blotting. (c) The expression of IL10, as detected using qRT-PCR. (d) The protein level of IL-10, as detected using ELISA. ∗∗p < 0.01, compared with the HC group; ∗∗p < 0.01, compared with shCtrl; #p < 0.05, ##p < 0.01, compared with shACLY. IOD: Integrated Optical Density. Scale bar: 200x = 50 μm, 400x = 20 μm....

Copyright © 北京嘉美诺斯生物科技有限公司 2009. All rights reserved
备案号:湘ICP备2025088722号-1