您现在的位置:
下载说明书
Western blot analysis of extracts from various samples, using Acetyl-alpha Tubulin (Lys40) Antibody. Lane 1: Mouse brain, blocked with antigen-specific peptides, Lane 2: Mouse brain, Lane 3: HepG2 cells(LPS 4h treatment), Lane 4: A549 cells(UV treatment)....
Western blot analysis of extracts from HeLa cells(TSA 1M, 18 hr), using Acetyl-alpha Tubulin (Lys40) Antibody. Lane1 was treated with Ac-blocking peptide. Lane2 was treated with Non-Ac-blocking peptide....
Western blot analysis of extracts from various samples, using Acetyl-alpha Tubulin (Lys40) Antibody. Lane 1: Hepg2 cells(heat-shock treatment), blocked with antigen-specific peptides. Lane 2: Hepg2 cells(heat-shock treatment). Lane 3: Raw264.7 cells(serum starvation treatment)....
Western blot analysis of extracts from various samples, using Acetyl-alpha Tubulin (Lys40) Antibody. Lane 1: Hela cells(uv treatment), blocked with antigen-specific peptides, Lane 2: Hela cells(uv treatment), Lane 3: RAW264.7 cells(LPS 4h treatment)....
Western blot analysis of extracts from various samples, using Acetyl-alpha Tubulin (Lys40) Antibody. Lane 1: Mouse kidney, blocked with antigen-specific peptides, Lane 2: Mouse kidney, Lane 3: Rat heart, Lane 4: K562 cells, Lane 5: Rat liver....
Western blot analysis of extracts from various samples, using Acetyl-alpha Tubulin (Lys40) Antibody. Lane 1: Mouse brain, blocked with antigen-specific peptides, Lane 2: Mouse brain, Lane 3: HepG2 cells(LPS 4h treatment), Lane 4: A549 cells(UV treatment)....
ab10664 at 1/100 staining Human colorectal cancer by IHC-P. The sample was formaldehyde fixed and a heat mediated antigen retrieval step in citrate buffer was performed. The sample was then blocked and incubated with the primary antibody at 4°C overnight. An HRP conjugated anti-Rabbit antibody was used as the secondary antibody....
ab10664 at 1/100 staining Human colorectal cancer by IHC-P. The sample was formaldehyde fixed and a heat mediated antigen retrieval step in citrate buffer was performed. The sample was then blocked and incubated with the primary antibody at 4°C overnight. An HRP conjugated anti-Rabbit antibody was used as the secondary antibody....
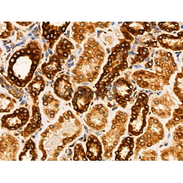
ab10664 at 1/100 staining Human kidney cancer by IHC-P. The sample was formaldehyde fixed and a heat mediated antigen retrieval step in citrate buffer was performed. The sample was then blocked and incubated with the primary antibody at 4°C overnight. An HRP conjugated anti-Rabbit antibody was used as the secondary antibody....
ab10664 at 1/100 staining Human ovarian cancer by IHC-P. The sample was formaldehyde fixed and a heat mediated antigen retrieval step in citrate buffer was performed. The sample was then blocked and incubated with the primary antibody at 4°C overnight. An HRP conjugated anti-Rabbit antibody was used as the secondary antibody....
ab10664 at 1/100 staining Mouse testis tissue by IHC-P. The sample was formaldehyde fixed and a heat mediated antigen retrieval step in citrate buffer was performed. The sample was then blocked and incubated with the primary antibody at 4°C overnight. An HRP conjugated anti-Rabbit antibody was used as the secondary antibody....
ab10664 at 1/100 staining Human lung cancer by IHC-P. The sample was formaldehyde fixed and a heat mediated antigen retrieval step in citrate buffer was performed. The sample was then blocked and incubated with the primary antibody at 4°C overnight. An HRP conjugated anti-Rabbit antibody was used as the secondary antibody....
ab10664 staining HepG2 cells by IF/ICC. The samples were fixed with PFA and permeabilized in 0.1% Triton X-100,then blocked in 10% serum for 45 minutes at 25°C. Samples were then incubated with primary Ab(ab10664 1:200) and mouse anti-beta tubulin Ab(T0023 1:200) for 1 hour at 37°C. An AlexaFluor594 conjugated goat anti-rabbit IgG(H+L) Ab(Red) and an AlexaFluor488 conjugated goat anti-mouse IgG(H+L) Ab(Green) were used as the secondary antibody. The nuclear counter stain is DAPI(blue)....
Fig 2. |F7 inhibited HDAC6 expression and enhanced the deacetylation of α-tubulin and histone H3 in the kidney of rhabdomyolysis-induced AKI. (A) Protein expression level of HDAC6, α-tubulin, acetyl-α-tubulin and acetyl-H3.Immunoblot analysis of HDAC6 and its substrates. The densitometry values of acetyl-α-tubulin was normalized to αtubulin. The densitometry values of HDAC6 and acetyl-H3 were normalized to GAPDH. N = 5, **P<0.01, **P<0.05.The data are representative of 2–3 independent experiments....
Figure 6 Regulatory effects of QYD or CDK5 inhibitors on the NFAT5-GEF-H1 signaling pathway. (A) Scatter plot of CDK5 and NFAT5 genes in SAP patients. Quantitative RT-PCR analysis of the relative levels of CDK5, NFAT5 and GEF-H1 (B) mRNA in rat lung tissues. (C and D) Western blot was performed to assess the protein expression levels of CDK5, NFAT5, GEF-H1, and Acetyl-alpha Tubulin in rat lung tissues. GAPDH was used as a loading control. Semi-quantification of protein expression of CDK5, NFAT5, GEF-H1 and Acetyl-alpha Tubulin using histograms. Data are representative images or expressed as mean ± SD of each group of rats from at least three independent experiments; *P < 0.05, **P < 0.01, ***P < 0.001....
Figure 1. Rearrangement of the microfilaments and microtubules in BMECs treated with rPVL. (A) Damage on the microfilaments and microtubules morphology in the rPVL-stimulated BMECs as observed by immunofluorescence. Labeled with Rhodamine–Phalloidin (red), anti-α-tubulin antibody (green) and DAPI (blue). Scale bars are 50 μm in all figures. (B) Effects of rPVL on the abundance of F-actin, Ace-tubulin, and α-tubulin in BMECs. Western blot was used to determine the relative levels of F-actin, Ace-tubulin and α-tubulin; GAPDH was used as a control. rPVL was used at a concentration of 100 ng/mL. Data are expressed as mean ± standard deviation of three independent experiments, * 0.01 < p < 0.05, ** p < 0.01 (one-way ANOVA with Dunnett’s multiple comparison tests), ns: not significant....

Copyright © 北京嘉美诺斯生物科技有限公司 2009. All rights reserved
备案号:湘ICP备2025088722号-1