您现在的位置:
下载说明书
Western blot analysis of extracts from 3t3, using ACC1 Antibody. Lane 1 was treated with the blocking peptide....
Western blot analysis of extracts from B16F10 cells, using ACC1 Antibody. The lane on the left was treated with blocking peptide....
ab11596 at 1/100 staining Mouse ovary tissue by IHC-P. The sample was formaldehyde fixed and a heat mediated antigen retrieval step in citrate buffer was performed. The sample was then blocked and incubated with the primary antibody at 4°C overnight. An HRP conjugated anti-Rabbit antibody was used as the secondary antibody....
ab11596 at 1/100 staining Human mammary cancer by IHC-P. The sample was formaldehyde fixed and a heat mediated antigen retrieval step in citrate buffer was performed. The sample was then blocked and incubated with the primary antibody at 4°C overnight. An HRP conjugated anti-Rabbit antibody was used as the secondary antibody....
ab11596 at 1/100 staining Human lung cancer by IHC-P. The sample was formaldehyde fixed and a heat mediated antigen retrieval step in citrate buffer was performed. The sample was then blocked and incubated with the primary antibody at 4°C overnight. An HRP conjugated anti-Rabbit antibody was used as the secondary antibody....
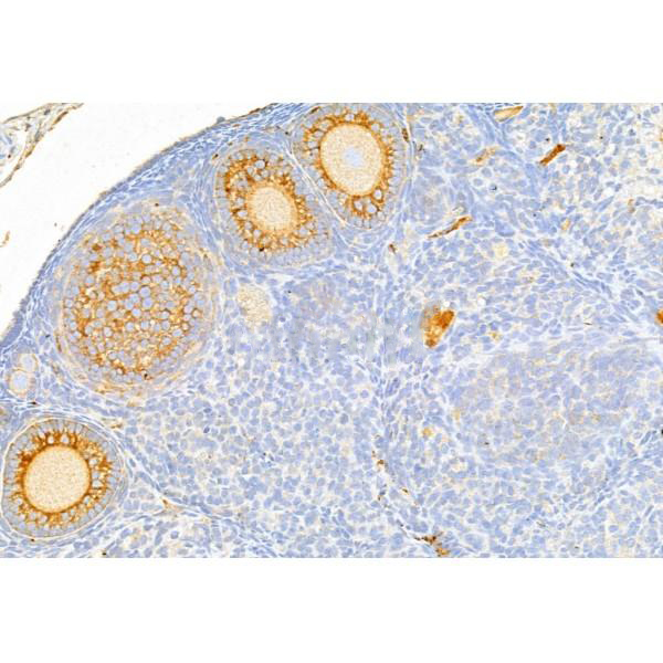
ab11596 at 1/100 staining Rat ovary tissue by IHC-P. The sample was formaldehyde fixed and a heat mediated antigen retrieval step in citrate buffer was performed. The sample was then blocked and incubated with the primary antibody at 4°C overnight. An HRP conjugated anti-Rabbit antibody was used as the secondary antibody....
ab11596 at 1/100 staining Mouse lung tissue by IHC-P. The sample was formaldehyde fixed and a heat mediated antigen retrieval step in citrate buffer was performed. The sample was then blocked and incubated with the antibody for 1.5 hours at 22°C. An HRP conjugated goat anti-rabbit antibody was used as the secondary antibody....
ab11596 staining HepG2 cells by IF/ICC. The samples were fixed with PFA and permeabilized in 0.1% Triton X-100,then blocked in 10% serum for 45 minutes at 25°C. Samples were then incubated with primary Ab(ab11596) and mouse anti-beta tubulin Ab(T0023) for 1 hour at 37°C. An AlexaFluor594 conjugated goat anti-rabbit IgG(H+L) Ab(Red) and an AlexaFluor488 conjugated goat anti-mouse IgG(H+L) Ab(Green) were used as the secondary antibody. The nuclear counter stain is DAPI(blue)....
Fig. 2. Effects of LRG on adipocyte size and the protein expression in WAT of diabetic mice. (A) Adipocyte size of the mice; (B) Quantification of Fig. 2A; (C) Immunohistochemical assay of WAT; (D) Quantification of Fig. 2C; (E) Protein expression in WAT; (F) Quantification of Fig. 3E n ¼ 6 mice/group. #p < 0.05, ##p < 0.01,###p < 0.001 vs CON; *p < 0.05,**p < 0.01, ***p < 0.001 vs DM....
Figure.7. |Effect of swertiamarin (25, 50 and 100 mg/kg) and silibinin on (A) ACC1 expression by western blotting analysis. Immunohistochemical stainings of (B) SREBP-1 and (C) FAS in liver tissue of mice. Scale bar represents 30 μm. Representative analysis from six animals in each group.Significance is represented as ##P ≤ 0.01 and ###P ≤ 0.001 compared to the normal control group,*P ≤ 0.05 and **P ≤ 0.01 compared to the fructose group....
Fig. 8. The effect of PLF and puerarin on protein expression. (A) Protein expression level of AMPKα, p- AMPKα (Thr172) and ACC1. (B) Expression levels of pAMPKα/AMPKα. (C) Quantitation of western blotting analysis of ACC1. **P < 0.005 in comparison with the control group. ##P < 0.005 in comparison with the 2 % EtOH group....
FIGURE 5 FA regulated the expression of lipid metabolites-related Proteins in HFD-fed ApoE−/− mice (A), (B) Protein expression of AMPKα, P-AMPKα, SREBP1, ACC1 in liver (n = 3), (C) inmmunofluorescence staining of ACC1, SREBP1 in Liver sections (200 ×). *p < 0.05; as compared to the control group. # p < 0.05, ## p < 0.01; as compared to the model group....
FIGURE 5 FA regulated the expression of lipid metabolites-related Proteins in HFD-fed ApoE−/− mice (A), (B) Protein expression of AMPKα, P-AMPKα, SREBP1, ACC1 in liver (n = 3), (C) inmmunofluorescence staining of ACC1, SREBP1 in Liver sections (200 ×). *p < 0.05; as compared to the control group. # p < 0.05, ## p < 0.01; as compared to the model group....
Figure 2 The effects of HICA on the intracellular signaling pathways. A typical image for a capillary immunoassay is shown (A). The phosphorylation levels of (B) p70S6K and 4E-BP1; (C) AMPK, ACC, and ULK1; (D) ERK1/2; (E) p38MAPK; and (F) eEF2 are shown. The phosphorylation is normalized to the total protein expression. The β-tubulin content in the lysate was measured as a loading control (G). The time course of these experiments is shown in the upper region. DM: differentiation medium, DMEM: Dulbecco’s modified Eagle’s medium, and w/o AA: without amino acids. Data are displayed as the means ± SD, and n = 4 for each group in all bar graphs. * p < 0.05 and ** p < 0.01 vs. the vehicle-treated group....
Fig. 1 AMPK mediated the synovioprotective effect of L-carnitine in an LPS-stimulated FLS model. a HE and anti-vimentin immunostaining of FLS for cell identification. b The cell viability of L-carnitine on FLS. c Toxicity was detected by LDH. d ELISA measurement of IL-1β, IL-6, IL-8, TNF-α, and IL-10 levels in the supernatant. e Immunostaining shows that pAMPK is increased after L-carnitine administration (× 630 magnification). f ATP detection shows that L-carnitine can replenish ATP levels. g Immunoblot analysis of AMPK, pAMPK, ACC, and pACC. h Real-time PCR data of AMPK and ACC. Data are presented as the mean ± SD (n = 3). ns, not significant....
Fig. 5. Effects ofL. plantarum Q16 on key proteins involved in hepatic lipid metabolism in HFD-fed obese mice. Data are presented as mean ± SD (n = 6). Different lowercase alphabet letters were significantly different at the level of P < 0.05....
Figure 5. Fanlian Huazhuo Formula group regulated lipid synthesis signaling pathway in vitro. A: Protein expression levels of AMPKα, SREBP-1C, ACC1, FASN and β-actin in HepG2 cells induced by free fatty acid (n = 3); B: Relative mRNA expression levels of AMPKα, SREBP-1C, ACC1 and FASN in HepG2 cells tested by real-time quantitative polymerase chain reaction (n = 3). Data are presented as mean ± SE. aP < 0.05 vs NC group, cP < 0.05 vs MOD group. NC: Negative control group; MOD: Model group; FLHZF: Fanlian Huazhuo Formula group....
Figure 4. Mannose inhibits ethanol-induced hepatocyte lipogenesis. (A-C) Isolated PMHs were obtained from mice fed the control diet (Pair) or ethanol diet (EtOH) supplemented with or without 3% (w/v) mannose (Man). The protein (A) and mRNA (B) levels of SREBP1c, ACC1 and FASN were evaluated (n = 6). (C) Representative images of SREBP1c staining on the liver sections (n = 3). Scale bars = 100 μm. (D, E) PMHs from WT mice were stimulated by 200 mM ethanol (EtOH) with/without 5 mM mannose (Man) for 24 h, PMHs with cell culture medium as control (Ctrl). The protein (D) and mRNA (E) levels of lipogenic enzyme genes SREBP1c, ACC1, and FASN were evaluated (n = 3). Data are expressed as the means ± SEM of three independent experiments. *p < 0.05, **p < 0.01, ***p < 0.001, ****p < 0.0001, ns, not significant, unpaired two-tailed t-test....

Copyright © 北京嘉美诺斯生物科技有限公司 2009. All rights reserved
备案号:湘ICP备2025088722号-1