您现在的位置:
ab12388 ABCG2 Antibody
货号:
实验方法:WB,FCM,IF,ICC
实验种属:Human,Mouse,Rat,Rabbit,Bovine,Chicken,Dog,Sheep,Horse
宿主种属:Rabbit
共轭标记:Unconjugated
产品售价:
产品订购:
jiamay@gmail.com
渠道电话:
+86 400-698-4168
客服电话:
+86 400-698-4168
下载说明书
产品详情
产品应用信息
Broad substrate specificity ATP-dependent transporter of the ATP-binding cassette (ABC) family that actively extrudes a wide variety of physiological compounds, dietary toxins and xenobiotics from cells. Involved in porphyrin homeostasis, mediating the export of protoporphyrin IX (PPIX) from both mitochondria to cytosol and cytosol to extracellular space, it also functions in the cellular export of heme. Also mediates the efflux of sphingosine-1-P from cells. Acts as a urate exporter functioning in both renal and extrarenal urate excretion. In kidney, it also functions as a physiological exporter of the uremic toxin indoxyl sulfate (By similarity). Also involved in the excretion of steroids like estrone 3-sulfate/E1S, 3beta-sulfooxy-androst-5-en-17-one/DHEAS, and other sulfate conjugates. Mediates the secretion of the riboflavin and biotin vitamins into milk (By similarity). Extrudes pheophorbide a, a phototoxic porphyrin catabolite of chlorophyll, reducing its bioavailability (By similarity). Plays an important role in the exclusion of xenobiotics from the brain (Probable). It confers to cells a resistance to multiple drugs and other xenobiotics including mitoxantrone, pheophorbide, camptothecin, methotrexate, azidothymidine, and the anthracyclines daunorubicin and doxorubicin, through the control of their efflux. In placenta, it limits the penetration of drugs from the maternal plasma into the fetus (By similarity). May play a role in early stem cell self-renewal by blocking differentiation (By similarity).

Description
Mouse monoclonal antibody to ABCG2

Applications 
WB, IF, ICC, IHC, ELISA, FCM

Immunogen 
ABCG2 antibody detects endogenous levels of total ABCG2.

Reactivity 
Human, Mouse, Rat.

Molecular weight
72kDa; 72kD(Calculated).

Host species 
Mouse

Ig class 
Immunogen-specific rabbit IgG

Purification 
Antigen affinity purification

Full name 
ABCG2

Synonyms 
ABC transporter; ABC15; ABCG 2; ABCG2; ABCG2_HUMAN; ABCP; ATP binding cassette sub family G (WHITE) member 2; ATP binding cassette transporter G2; ATP-binding cassette sub-family G member 2; BCRP; BCRP1; BMDP; Breast cancer resistance protein; CD338; CDw338; CDw338 antigen; EST157481; GOUT1; MGC102821; Mitoxantrone resistance associated protein; Mitoxantrone resistance-associated protein; MRX; Multi drug resistance efflux transport ATP binding cassette sub family G (WHITE) member 2; MXR; MXR1; Placenta specific ATP binding cassette transporter; Placenta specific MDR protein; Placenta-specific ATP-binding cassette transporter; UAQTL1;

Storage
Mouse IgG1 in phosphate buffered saline (without Mg2+ and Ca2+), pH 7.4, 150mM NaCl, 0.02% sodium azide and 50% glycerol. Store at -20 °C. Stable for 12 months from date of receipt.

Swissprot 
Q9UNQ0

图片数据
Figure 1: Western blot analysis using ABCG2 mouse mAb against NIH/3T3 (1) and Cos7 (2) cell lysate....
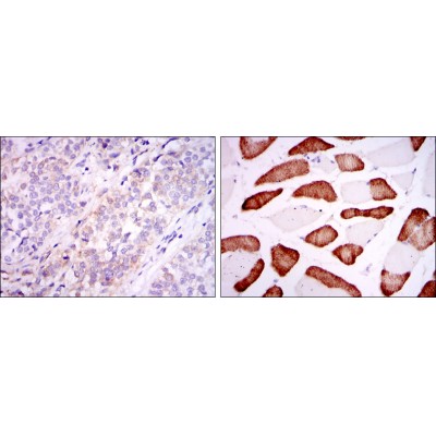
Immunohistochemical analysis of paraffin-embedded bladder cancer tissues (left)and skeletal mudcle tissues (right)using ABCG2 mouse mAb with DAB staining....
Immunofluorescence analysis of Hela cells using ABCG2 mouse mAb (green). Blue: DRAQ5 fluorescent DNA dye. Red: Actin filaments have been labeled with Alexa Fluor-555 phalloidin....

嘉美客服微信