您现在的位置:
下载说明书
ab10970 at 1/100 staining human brain tissue sections by IHC-P. The tissue was formaldehyde fixed and a heat mediated antigen retrieval step in citrate buffer was performed. The tissue was then blocked and incubated with the antibody for 1.5 hours at 22°C. An HRP conjugated goat anti-rabbit antibody was used as the secondary antibody....
ab10970 at 1/100 staining Human colorectal cancer by IHC-P. The sample was formaldehyde fixed and a heat mediated antigen retrieval step in citrate buffer was performed. The sample was then blocked and incubated with the primary antibody at 4°C overnight. An HRP conjugated anti-Rabbit antibody was used as the secondary antibody....
ab10970 at 1/100 staining Mouse liver tissue by IHC-P. The sample was formaldehyde fixed and a heat mediated antigen retrieval step in citrate buffer was performed. The sample was then blocked and incubated with the primary antibody at 4°C overnight. An HRP conjugated anti-Rabbit antibody was used as the secondary antibody....
ab10970 at 1/100 staining Rat heart tissue by IHC-P. The sample was formaldehyde fixed and a heat mediated antigen retrieval step in citrate buffer was performed. The sample was then blocked and incubated with the primary antibody at 4°C overnight. An HRP conjugated anti-Rabbit antibody was used as the secondary antibody....
ab10970 at 1/100 staining Rat testis tissue by IHC-P. The sample was formaldehyde fixed and a heat mediated antigen retrieval step in citrate buffer was performed. The sample was then blocked and incubated with the primary antibody at 4°C overnight. An HRP conjugated anti-Rabbit antibody was used as the secondary antibody....
ab10970 staining HepG2 cells by IF/ICC. The samples were fixed with PFA and permeabilized in 0.1% Triton X-100, then blocked in 10% serum for 45 minutes at 25°C. Samples were then incubated with primary Ab(#ab10970) and mouse anti-beta tubulin Ab(#T0023) for 1 hour at 37°C. An AlexaFluor594 conjugated goat anti-rabbit IgG Ab(Red) and an AlexaFluor488 conjugated goat anti-mouse IgG Ab(Green) were used as the secondary antibody. The nuclear counter stain is DAPI (blue)....
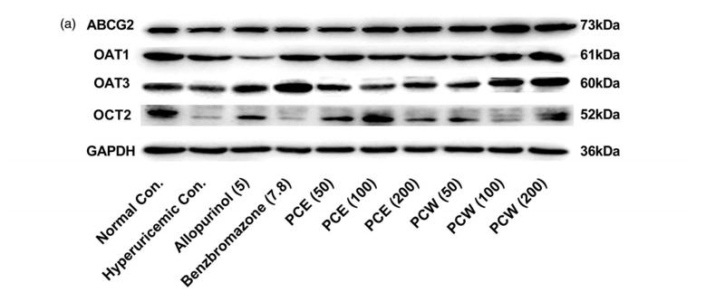
Figure 4. Effects of PCE and PCW on renal ABCG2, OAT3, OAT1 and OCT2 protein expression detected by Western blot: immunoreactive bands (a) and densitometries (b,c,d and –e, expressed as mean ± SD; n n ¼ 3). p < 0.05, p < 0.01 versus the normal control; #p < 0.05, ##p < 0.01 versus the hyperuricemic control; p < 0.01 versus the allopurinol control....
Figure 2. |Characterization of M0, M1 and M2 macrophages. M2 macrophages could promote the chemoresistance of ovarian cancer cells.(F) Western blotting was used to test the expression levels of cleaved caspase 3, ABCG2 and MDR1 in the ovarian cancer cells which co-cultured with M0 and M2 macrophages. U6 and GAPDH were used as the control. The columns showed as the mean ± SE of triplicate samples. *P < 0.05; **P < 0.01; ***P < 0.001....
Figure 3 Effect of PECZ on the protein expression of drug resistance genes in MDA-MB-231/docetaxel cells. Representative band of each protein (A). Relative protein expression of PXR (B), MDR1 (C), BCRP (D), and CYP3A4 (E). (x¯±s, n=3), *, P<0.05; **, P<0.01 vs. control group. PECZ, petroleum ether extracts of Curcuma zedoaria; PXR, pregnane X receptor; MDR1, multidrug resistance 1; BCRP, breast cancer resistance protein; CYP3A4, cytochrome P-450....
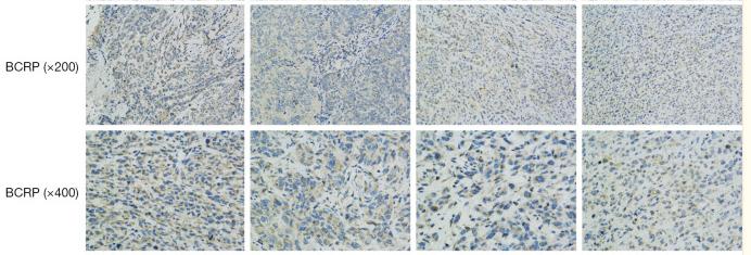
Figure 7 PECZ and docetaxel decreased the expression of drug resistance genes. Representative images of immunohistochemical showing PXR, MDR1, CYP3A4, and BCRP in tumor tissues in the different groups. Original magnification ×200, ×400; (x¯±s, n=3). PECZ, petroleum ether extracts of Curcuma zedoaria; PXR, pregnane X receptor; MDR1, multidrug resistance 1; BCRP, breast cancer resistance protein; CYP3A4, cytochrome P-450....
Fig. 2. Effect of NRBP1 overexpression and knockdown on the secretion and reabsorption of uric acid. A, Effect of NRBP1 overexpression and knockdown on the mRNA expression of NRBP1, ABCG2, OAT1, GLUT9 and URAT1. B, Effect of NRBP1 overexpression and knockdown on the protein expression of NRBP1, ABCG2, OAT1, GLUT9 and URAT1....
Figure 3. Assessment of MRP and BCRP expression in PANC-1 and PANC-1/GEM cells. (A) Reverse transcription-quantitative PCR analysis of MRP and BCRP mRNA expression levels in PANC-1 and PANC-1/GEM cells (n=3). (B) Western blot analysis of MRP and BCRP protein expression in PANC-1 and PANC-1/GEM cells (n=3). Data are presented as the mean ± SD. *P...
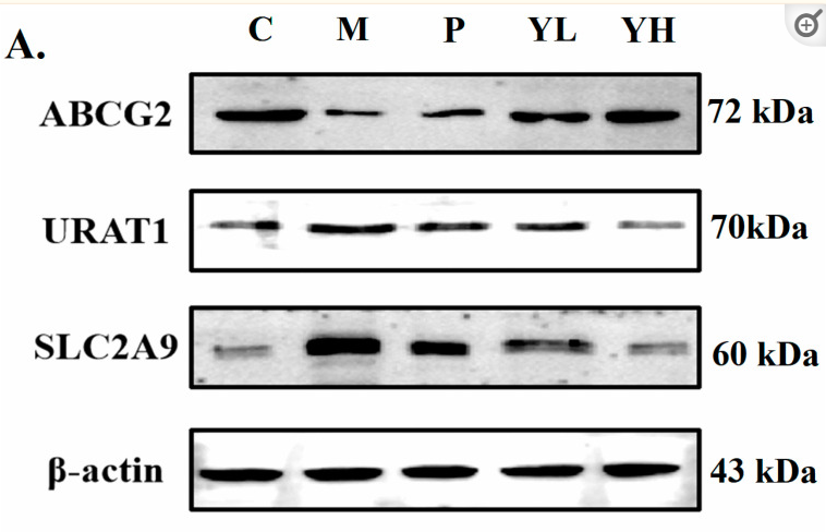
Figure 6 Effect of CE on the expression (A) and relative expressions (B) of several key proteins related to uric acid transport in the kidney, including ABCG2, URAT1, and SLC2A9 (n = 6/group). The relative expression level was quantified to 1 as the ratio of the blank group to β-actin as a standard for comparison. Different letters on the same bar graph indicate significant differences (p < 0.05). C, control group; M, model group; P, positive group (5 mg/kg b.w. of allopurinol). YL, CE low dose group (400 mg/kg b.w. of CE) and YH, CE high dose group (800 mg/kg b.w. of CE)....

Copyright © 北京嘉美诺斯生物科技有限公司 2009. All rights reserved
备案号:湘ICP备2025088722号-1