您现在的位置:
ab14672 ABCD1 Antibody
货号:
实验方法:WB,IF,ICC
实验种属:Human,Mouse,Rat,Rabbit,Bovine,Chicken,Dog,Sheep,Horse
宿主种属:Rabbit
共轭标记:Unconjugated
产品售价:
产品订购:
jiamay@gmail.com
渠道电话:
+86 400-698-4168
客服电话:
+86 400-698-4168
下载说明书
产品详情
产品应用信息
Plays a role in the transport of free very-long-chain fatty acids (VLCFAs) as well as their CoA-esters across the peroxisomal membrane by acting as an ATP-specific binding subunit releasing ADP after ATP hydrolysis. Thus, plays a role in regulation of VLCFAs and energy metabolism namely, in the degradation and biosynthesis of fatty acids by beta-oxidation, mitochondrial function and microsomal fatty acid elongation. Involved in several processes; namely, controls the active myelination phase by negatively regulating the microsomal fatty acid elongation activity and may also play a role in axon and myelin maintenance. Controls also the cellular response to oxidative stress by regulating mitochondrial function like, mitochondrial oxidative phosphorylation and depolarization. And finally controls the inflammatory response by positively regulating peroxisomal beta-oxidation of VLCFAs (By similarity).

Description
Rabbit polyclonal antibody to ABCD1

Applications 
WB, IF, ICC, IHC.

Immunogen 
ABCD1 Antibody detects endogenous levels of total ABCD1.

Reactivity 
Human.
可预测:Pig(89%), Bovine(89%), Horse(89%), Rabbit(89%), Dog(89%)

Molecular weight
75 KD; 83kD(Calculated).

Host species 
Rabbit

Ig class 
Immunogen-specific rabbit IgG

Purification 
Antigen affinity purification

Full name 
ABCD1

Synonyms 
ABC42; Abcd1; ABCD1_HUMAN; Adrenoleukodystrophy protein; ALD; Aldgh; ALDP; AMN; ATP binding cassette, sub family D (ALD), member 1; ATP-binding cassette sub-family D member 1; OTTHUMP00000025960; OTTMUSP00000019283; RGD1562128; RP23 373N8.2; X linked adrenoleukodystrophy (ALD) gene homolog;

Storage
Rabbit IgG in phosphate buffered saline , pH 7.4, 150mM NaCl, 0.02% sodium azide and 50% glycerol. Store at -20 °C. Stable for 12 months from date of receipt.

Swissprot 
P33897

图片数据
Western blot analysis of extracts from Jurkat cells, using ABCD1 antibody.The lane on the left was treated with the antigen-specific peptide....
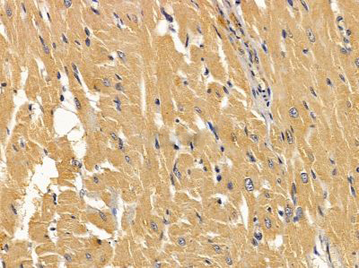
ab14672 at 1/100 staining rat heart tissue by IHC-P. The sample was formaldehyde fixed and a heat mediated antigen retrieval step in citrate buffer was performed. The sample was then blocked and incubated with the primary antibody at 4°C overnight. An HRP conjugated anti-rabbit antibody was used as the secondary antibody....

嘉美客服微信