您现在的位置:
下载说明书
Western blot analysis of extracts from MCF7, using 4E-BP1 Antibody. The lane on the left was treated with blocking peptide....
Figure 5. Effect of fluoxetine (20mg/kg) and rapamycin (10mg/kg) on the level of phosphorylated-4E-BP-1 expression in the frontal cortex (A), the hippocampus (B), the amygdala (C) and the hypothalamus (D). The data represented the values of mean± S.E.M. from 5mice/group. # P< 0.05 and ##P< 0.01 vs Control-vehicle group. *P< 0.05 and **P< 0.01 vs CUMS-vehicle group. +P< 0.05 vs CUMS-fluoxetine group. The results of Two-way ANOVA are provided in supplemental materials....
Fig. 4. |The effect of PA on the level of expression of p-4E-BP-1 protein in the hippocampus. (A) The effect of PA on p-4E-BP-1 and 4E-BP-1 protein levels in hippocampus were investigated by western blot analysis....
Figure 2 The effects of HICA on the intracellular signaling pathways. A typical image for a capillary immunoassay is shown (A). The phosphorylation levels of (B) p70S6K and 4E-BP1; (C) AMPK, ACC, and ULK1; (D) ERK1/2; (E) p38MAPK; and (F) eEF2 are shown. The phosphorylation is normalized to the total protein expression. The β-tubulin content in the lysate was measured as a loading control (G). The time course of these experiments is shown in the upper region. DM: differentiation medium, DMEM: Dulbecco’s modified Eagle’s medium, and w/o AA: without amino acids. Data are displayed as the means ± SD, and n = 4 for each group in all bar graphs. * p < 0.05 and ** p < 0.01 vs. the vehicle-treated group....
Figure 3 Expression levels of mTOR pathway proteins, ERS-associated proteins, and apoptosis-associated proteins in WT, CLP, and CLP+4-PBA mouse groups. After purifying the CD4+ T cells from mouse spleen lymphocytes, whole cell lysates were assessed for the protein expression of (a) patterns of mTOR pathway proteins, including mTOR, P-mTOR, downstream effectors p70s6k, p-p70s6k, 4EBP, and P-4EBP; (b) ERS-associated proteins, including GRP78 and CHOP; (c) apoptosis-associated proteins, including caspase-3, Bax, and Bcl-2. The protein expression was detected by immunoblotting. Data are mean ± SD. n = 4 biologically independent experiments (one-way ANOVA Tukey...
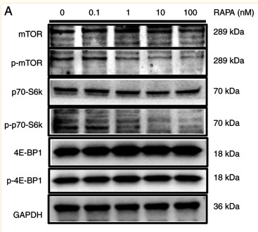
Figure 5. RAPA inhibits the mTOR/p70-S6k signaling pathway in B16 cells. B16 cells were treated with 0, 1, 10 and 100 nM RAPA for 48 h. (A) Western blotting results showed that RAPA inhibited the expression of p-mTOR and p-p70-S6k compared with in the control group. Statistical analysis of the (B) p-mTOR/mTOR ratio, (C) the p-p70-S6k/p70-S6k ratio and (D) the p-4E-BP1/4E-BP1 ratio at the protein level. Data are presented as the mean ± SD (n=3). *P...

Copyright © 北京嘉美诺斯生物科技有限公司 2009. All rights reserved
备案号:湘ICP备2025088722号-1