您现在的位置:
下载说明书
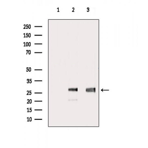
Western blot analysis of extracts from various samples, using 14-3-3 sigma Antibody. Lane 1: Rat brain, blocked with antigen-specific peptides, Lane 2: Rat brain, Lane 3: K562 cells....
ab16250 at 1/100 staining Human spleen tissue by IHC-P. The sample was formaldehyde fixed and a heat mediated antigen retrieval step in citrate buffer was performed. The sample was then blocked and incubated with the antibody for 1.5 hours at 22°C. An HRP conjugated goat anti-rabbit antibody was used as the secondary antibody....

Copyright © 北京嘉美诺斯生物科技有限公司 2009. All rights reserved
备案号:湘ICP备2025088722号-1