您现在的位置:
下载说明书
产品背景
This gene encodes alpha-fetoprotein, a major plasma protein produced by the yolk sac and the liver during fetal life. Alpha-fetoprotein expression in adults is often associated with hepatocarcinoma and with teratoma, and has prognostic value for managing advanced gastric cancer. However, hereditary persistance of alpha-fetoprotein may also be found in inpiduals with no obvious pathology. The protein is thought to be the fetal counterpart of serum albumin, and the alpha-fetoprotein and albumin genes are present in tandem in the same transcriptional orientation on chromosome 4. Alpha-fetoprotein is found in monomeric as well as dimeric and trimeric forms, and binds copper, nickel, fatty acids and bilirubin. The level of alpha-fetoprotein in amniotic fluid is used to measure renal loss of protein to screen for spina bifida and anencephaly.
Storage
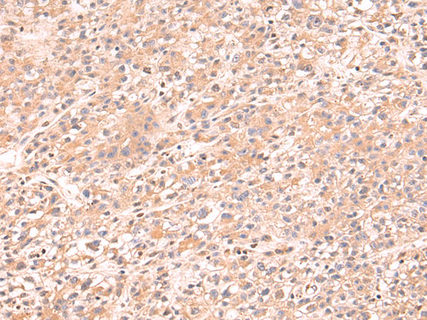
The image is immunohistochemistry of paraffin-embedded Human liver cancer tissue using ab100020(AFP Antibody) at dilution 1/50. (Original magnification: ×200)...
The image is immunohistochemistry of paraffin-embedded Human prostate cancer tissue using ab100020(AFP Antibody) at dilution 1/50. (Original magnification: ×200)...
Gel: 8%SDS-PAGE, Lysate: 40 μg, Lane: Human liver cancer tissue lysate, Primary antibody: ab100020(AFP Antibody) at dilution 1/800, Secondary antibody: Goat anti rabbit IgG at 1/8000 dilution, Exposure time: 30 seconds...

Copyright © 北京嘉美诺斯生物科技有限公司 2009. All rights reserved
备案号:湘ICP备2025088722号-1