您现在的位置:
下载说明书
产品背景
Microtubules of the eukaryotic cytoskeleton perform essential and perse functions and are composed of a heterodimer of alpha and beta tubulin. The genes encoding these microtubule constituents are part of the tubulin superfamily, which is composed of six distinct families. Genes from the alpha, beta and gamma tubulin families are found in all eukaryotes. The alpha and beta tubulins represent the major components of microtubules, while gamma tubulin plays a critical role in the nucleation of microtubule assembly. There are multiple alpha and beta tubulin genes and they are highly conserved among and between species. This gene encodes an alpha tubulin that is a highly conserved homolog of a rat testis-specific alpha tubulin. Alternatively spliced transcript variants encoding different isoforms have been found for this gene. [provided by RefSeq, Jun 2013] (The background information is obtained from official databases and does not represent the product information.)
Storage
-20°C, pH7.4 PBS, 0.05% NaN3, 40% Glycerol
Description
Anti-TUBA4A rabbit polyclonal antibody
Applications
ELISA, WB, IHC
Immunogen
Recombinant protein of human TUBA4A
Reactivity
Human, Mouse, Rat
Content
0.8 mg/ml
Host species
Rabbit
Ig class
Immunogen-specific rabbit IgG
Purification
Antigen affinity purification
Symbol
TUBA4A
Full name
tubulin alpha 4a
Synonyms
ALS22; TUBA1; H2-ALPHA
Swissprot
P68366
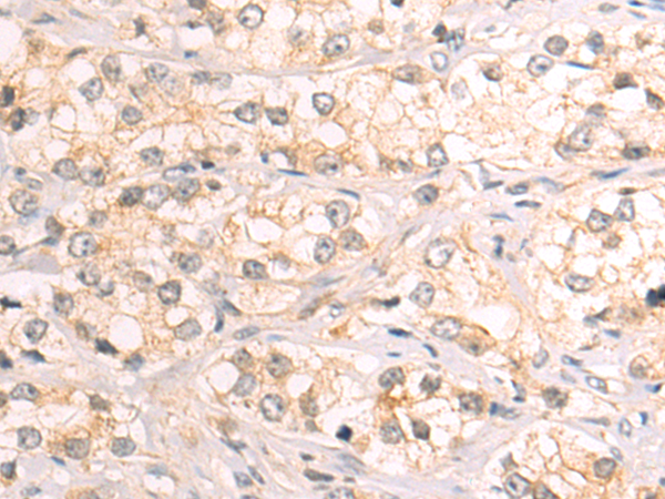
The image on the left is immunohistochemistry of paraffin-embedded Human prostate cancer tissue using ab100018(TUBA4A Antibody) at dilution 1/55, on the right is treated with recombinant protein. (Original magnification: ×200)...
The image on the left is immunohistochemistry of paraffin-embedded Human prostate cancer tissue using ab100018(TUBA4A Antibody) at dilution 1/55, on the right is treated with recombinant protein. (Original magnification: ×200)...
Gel: 8%SDS-PAGE, Lysate: 40 μg, Lane 1-3: HepG2, NIH/3T3, Raji cell lysates, Primary antibody: D110022(TUBA4A Antibody) at dilution 1/800, Secondary antibody: ab100018(HRP-conjugated Goat anti rabbit IgG) at 1/5000 dilution, Exposure time: 10 seconds...

Copyright © 北京嘉美诺斯生物科技有限公司 2009. All rights reserved
备案号:湘ICP备2025088722号-1