您现在的位置:
下载说明书
This gene encodes a member of the glyceraldehyde-3-phosphate dehydrogenase protein family. The encoded protein has been identified as a moonlighting protein based on its ability to perform mechanistically distinct functions. The product of this gene catalyzes an important energy-yielding step in carbohydrate metabolism, the reversible oxidative phosphorylation of glyceraldehyde-3-phosphate in the presence of inorganic phosphate and nicotinamide adenine dinucleotide (NAD). The encoded protein has additionally been identified to have uracil DNA glycosylase activity in the nucleus. Also, this protein contains a peptide that has antimicrobial activity against E. coli, P. aeruginosa, and C. albicans. Studies of a similar protein in mouse have assigned a variety of additional functions including nitrosylation of nuclear proteins, the regulation of mRNA stability, and acting as a transferrin receptor on the cell surface of macrophage. Many pseudogenes similar to this locus are present in the human genome. Alternative splicing results in multiple transcript variants. [provided by RefSeq, Nov 2014] (The background information is obtained from official databases and does not represent the product information.)
Storage
-20°C, pH7.4 PBS, 0.05% NaN3, 40% Glycerol
Description
Anti-GAPDH rabbit polyclonal antibody
Applications
ELISA, WB, IHC
Immunogen
Fusion protein of human GAPDH
Reactivity
Human, Mouse, Rat
Content
1.1 mg/ml
Host species
Rabbit
Ig class
Immunogen-specific rabbit IgG
Purification
Antigen affinity purification
Symbol
GAPDH
Full name
glyceraldehyde-3-phosphate dehydrogenase
Synonyms
G3PD; GAPD; HEL-S-162eP
Swissprot
P04406
Gel: 8%SDS-PAGE, Lysate: 40 μg, Lane 1-7: 293T, Raji, Jurkat, 231, Hela, HUVEC, A375 cell lysates, Primary antibody: D110016(GAPDH Antibody) at dilution 1/8000, Secondary antibody: ab100017(HRP-conjugated Goat anti rabbit IgG) at 1/5000 dilution, Exposure time: 1 second...
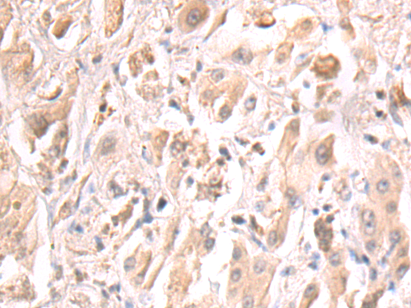
The image on the left is immunohistochemistry of paraffin-embedded Human liver cancer tissue using ab100017(GAPDH Antibody) at dilution 1/75, on the right is treated with fusion protein. (Original magnification: ×200)...
The image on the left is immunohistochemistry of paraffin-embedded Human liver cancer tissue using ab100017(GAPDH Antibody) at dilution 1/75, on the right is treated with fusion protein. (Original magnification: ×200)...
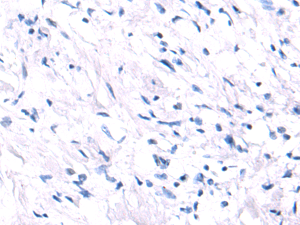
The image on the left is immunohistochemistry of paraffin-embedded Human gastric cancer tissue using ab100017(GAPDH Antibody) at dilution 1/75, on the right is treated with fusion protein. (Original magnification: ×200)...
The image on the left is immunohistochemistry of paraffin-embedded Human gastric cancer tissue using ab100017(GAPDH Antibody) at dilution 1/75, on the right is treated with fusion protein. (Original magnification: ×200)...

Copyright © 北京嘉美诺斯生物科技有限公司 2009. All rights reserved
备案号:湘ICP备2025088722号-1