您现在的位置:
下载说明书
This gene encodes a class III member of the beta tubulin protein family. Beta tubulins are one of two core protein families (alpha and beta tubulins) that heterodimerize and assemble to form microtubules. This protein is primarily expressed in neurons and may be involved in neurogenesis and axon guidance and maintenance. Mutations in this gene are the cause of congenital fibrosis of the extraocular muscles type 3. Alternate splicing results in multiple transcript variants. A pseudogene of this gene is found on chromosome 6.
保存缓冲液
-20°C, pH7.4 PBS, 0.05% NaN3, 40% Glycerol
运输条件
2-8°C
靶点
Uniprot
登记号
Q13509
靶点基因 ID
10381
靶点全称
tubulin beta 3 class III
靶点别名
CDCBM; FEOM3; TUBB4; CDCBM1; CFEOM3; beta-4; CFEOM3A
靶点研究领域
Signal Transduction, Neuroscience
亚型
Immunogen-specific rabbit IgG
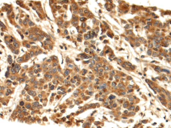
The image on the left is immunohistochemistry of paraffin-embedded Human colorectal cancer tissue using ab100016(TUBB3 Antibody) at dilution 1/80, on the right is treated with fusion protein. (Original magnification: ×200)...
The image on the left is immunohistochemistry of paraffin-embedded Human colorectal cancer tissue using ab100016(TUBB3 Antibody) at dilution 1/80, on the right is treated with fusion protein. (Original magnification: ×200)...
Gel: 8%SDS-PAGE, Lysate: 40 μg, Lane 1-3: Human cerebella tissue, Human cerebrum tissue and Rat brain tissue lysates, Primary antibody: ab100016(TUBB3 Antibody) at dilution 1/1000, Secondary antibody: Goat anti rabbit IgG at 1/5000 dilution, Exposure time: 30 seconds...

Copyright © 北京嘉美诺斯生物科技有限公司 2009. All rights reserved
备案号:湘ICP备2025088722号-1