您现在的位置:
下载说明书
Name of antibody:
ACTB
Immunogen:
Synthetic peptide of human ACTB
Full name:
actin beta
Synonyms:
BRWS1; PS1TP5BP1
SwissProt:
P60709
ELISA Recommended dilution:
5000-10000
IHC positive control:
Human tonsil
IHC Recommend dilution:
50-100
WB Predicted band size:
42 kDa
WB Positive control:
Mouse kidney tissue, Mouse brain tissue, 231 cell, Hela cell, 293T cell, HepG2 cell, NIH/3T3 cell lysates
WB Recommended dilution:
1000-5000
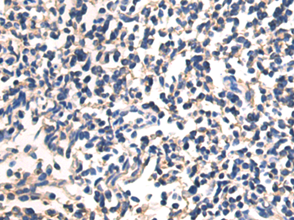
The image on the left is immunohistochemistry of paraffin-embedded Human tonsil tissue using ab100004(ACTB Antibody) at dilution 1/50, on the right is treated with synthetic peptide. (Original magnification: ×200)...
The image on the left is immunohistochemistry of paraffin-embedded Human tonsil tissue using ab100004(ACTB Antibody) at dilution 1/50, on the right is treated with synthetic peptide. (Original magnification: ×200)...
Gel: 8%SDS-PAGE, Lysate: 40 μg, Lane 1-7: Mouse kidney tissue, Mouse brain tissue, 231 cell, Hela cell, 293T cell, HepG2 cell, NIH/3T3 cell lysates, Primary antibody: D110001(ACTB Antibody) at dilution 1/800, Secondary antibody: ab100004(HRP-conjugated Goat anti rabbit IgG) at 1/5000 dilution, Exposure time: 5 seconds...

Copyright © 北京嘉美诺斯生物科技有限公司 2009. All rights reserved
备案号:湘ICP备2025088722号-1