您现在的位置:
下载说明书
Western blot analysis of Hela with alpha SMA antibody diluted at 1:5,000....
FIGURE 6 Ellagic acid attenuates BLM-induced fibroblasts activation and ECM accumulation in vivo. The mice were treated with Ellagic acid (10 mg/kg, 20 mg/kg) from day 7–13 after administrating BLM (A) Immunohistochemistry was used to analyze the expression levels of α-SMA, Col1 and Fn (n = 3). Quantitative analysis was shown beside. Scale bars: 50 μm (B–C) The expression levels of α-SMA and Col1 were detected by immunofluorescence in lung sections. The analyses of mean gray value were shown beside. Scale bars: 50 μm (D) Lung homogenization was used to analysis the α-SMA, LC3-II/I and p-mTOR , mTOR expression levels by Western blot (n = 6). Densitometric analyses were shown beside. Data in (A,D) are means ± Standard Error of Mean, *p < 0.05, **p < 0.01, ***p < 0.001, and NS: nonsignificant (one-way ANOVA). β-tubulin was used as a loading control....
FIGURE 6 Ellagic acid attenuates BLM-induced fibroblasts activation and ECM accumulation in vivo. The mice were treated with Ellagic acid (10 mg/kg, 20 mg/kg) from day 7–13 after administrating BLM (A) Immunohistochemistry was used to analyze the expression levels of α-SMA, Col1 and Fn (n = 3). Quantitative analysis was shown beside. Scale bars: 50 μm (B–C) The expression levels of α-SMA and Col1 were detected by immunofluorescence in lung sections. The analyses of mean gray value were shown beside. Scale bars: 50 μm (D) Lung homogenization was used to analysis the α-SMA, LC3-II/I and p-mTOR , mTOR expression levels by Western blot (n = 6). Densitometric analyses were shown beside. Data in (A,D) are means ± Standard Error of Mean, *p < 0.05, **p < 0.01, ***p < 0.001, and NS: nonsignificant (one-way ANOVA). β-tubulin was used as a loading control....
FIGURE 6 | (B–C) The expression levels of α-SMA and Col1 were detected by immunofluorescence in lung sections. The analyses of mean gray value were shown beside....
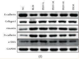
Figure 4 The expression levels of E-cadherin (a), collagen I (b), vimentin (c), N-cadherin (d), and a-SMA (e) protein and their protein band (f) in the lung tissue of mice in each group. NC, normal control group; BLM, bleomycin-induced systemic sclerosis model group; PESV-L, low-dose PESV intervention group; PESV-M, medium-dose PESV intervention group; PESV-H, high-dose PESV intervention group; DXM, dexamethasone intervention group....
Fig. 1. . Regulation of natural compound mogrol on the EMT in TGF-β1 mediated alveolar epithelial cells MLE-12. Mouse MLE-12 cells were treated with or without TGF-β1 (10 ng/ml) in the absence or presence of mogrol for 48 h. (a) Chemical structure of mogrol. (b) Effects of mogrol (0.1–100 μM) on the proliferation MLE-12 cells were measured by MTT assays. (c-f) Protein expressions of α-SMA, Col I, Vimentin and E-cadherin in MLE-12 cells treated with/without TGF-β1 were detected by western blotting analysis. Data are presented as mean ± SD (n = 5). *p < 0.05, **p < 0.01, ***p < 0.001. NS, non-significant....
Figure 3 Knockdown of DAB2 inhibited fibrogenesis. (A) Immunofluorescence staining of α-SMA in MRC-5 cells with downregulation of DAB2 following by the treatment of TGF-β1 (scale bar, 50 µm). (B) Protein levels of collagen, collagen Ⅳ, fibronectin and α-SMA in the cells. Data were presented as mean ± SD with three biological repetitions in each group. **P...
Figure 3 Knockdown of DAB2 inhibited fibrogenesis. (A) Immunofluorescence staining of α-SMA in MRC-5 cells with downregulation of DAB2 following by the treatment of TGF-β1 (scale bar, 50 µm). (B) Protein levels of collagen, collagen Ⅳ, fibronectin and α-SMA in the cells. Data were presented as mean ± SD with three biological repetitions in each group. **P...

Copyright © 北京嘉美诺斯生物科技有限公司 2009. All rights reserved
备案号:湘ICP备2025088722号-1