您现在的位置:
下载说明书
保存缓冲液
Ascitic fluid with 0.05% sodium azide and 40% glycerol
运输条件
2-8°C
靶点 Uniprot 登记号
P04406
靶点基因 ID
2597
靶点全称
glyceraldehyde-3-phosphate dehydrogenase
靶点别名
G3PD; GAPD; HEL-S-162eP
靶点研究领域
Metabolism, Cancer, Neuroscience
亚型
IgG1
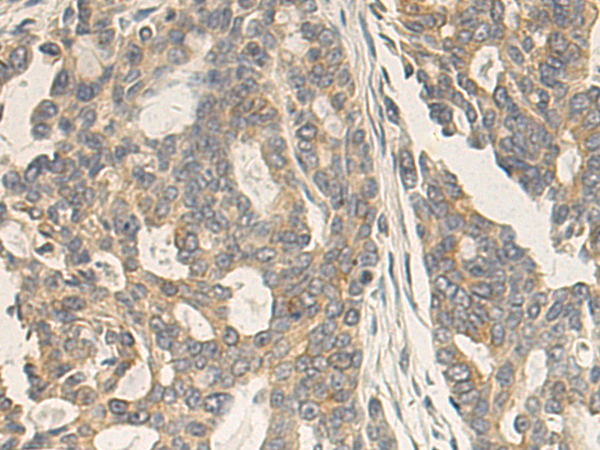
The image is immunohistochemistry of paraffin-embedded Human colorectal cancer and Human ovarian cancer tissue using ab100002(GAPDH Antibody) at dilution 1/150. (Original magnification: ×200)...
...
Gel: 8%SDS-PAGE, Lysate: 40 μg, Lane 1-2: HUVEC cell and Human left lung tissue lysates, Primary antibody: ab100002(GAPDH Antibody) at dilution 1/1200, Secondary antibody: Goat anti mouse IgG at 1/5000 dilution, Exposure time: 3 minutes...

Copyright © 北京嘉美诺斯生物科技有限公司 2009. All rights reserved
备案号:湘ICP备2025088722号-1